Skip to Content
Merck

AB16942

Anti-DR5 Antibody, CT

Chemicon®, from rabbit

Sign In to View Organizational & Contract Pricing.

Select a Size


About This Item

UNSPSC Code:
12352203
NACRES:
NA.41
eCl@ss:
32160702
Conjugate:
unconjugated
Clone:
polyclonal
Application:
WB
Citations:
19
Technical Service
Need help? Our team of experienced scientists is here for you.
Let Us Assist
Technical Service
Need help? Our team of experienced scientists is here for you.
Let Us Assist

biological source

rabbit

conjugate

unconjugated

antibody form

affinity purified immunoglobulin

antibody product type

primary antibodies

clone

polyclonal

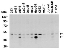
mol wt

calculated mol wt-47.88 kDa, observed mol wt ~55 kDa

species reactivity

human

manufacturer/tradename

Chemicon®

technique(s)

western blot: suitable

NCBI accession no.

UniProt accession no.

shipped in

wet ice

target post-translational modification

unmodified

Quality Level

Gene Information

human ... TNFRSF10B(8795)

Immunogen

Epitope: C-terminus
Polyclonal antibody raised against a peptide corresponding to amino acids 388-407 of human DR5 precursor (Pan et al. 1997; Sheridan et al. 1997).

Application

Anti-DR5 Antibody, C-terminus detects level of DR5 & has been published & validated for use in WB.
Research Category
Apoptosis & Cancer
Research Sub Category
Apoptosis - Additional
Western blot: 1:250 to 1:500

Whole cell lysate from HeLa or K562 cells can be used as a positive control .

Optimal working dilutions must be determined by end user.

Biochem/physiol Actions

Apoptosis is induced by certain cytokines including TNF and Fas ligand in the TNF family through their death domain containing receptors. TRAIL/Apo2L is a new member of the TNF family. DR4 was recently identified as the receptor for TRAIL. A novel death domain containing receptor for TRAIL was more recently identified and designated DR5, Apo2, TRAIL-R2, TRICK2 or KILLER by several groups independently (Pan et al. 1997; Sheridan et al. 1997; Walczak et al. 1997; MacFarlane et al. 1997; Screaton et al. 1997; Wu et al. 1997; Chaudhary et al. 1997). Like DR4, DR5 transcript is widely expressed in normal tissues and in many types of tumor cells. DR5 binds to TRAIL and mediates TRAIL induced cell death. Overexpression of DR5 induces apoptosis and activates NF-kB.

Physical form

Affinity purified immunoglobulin. Liquid in PBS containing 0.02% sodium azide.
Format: Purified

Preparation Note

Maintain refrigerated at 2-8°C in undiluted aliquots for up to 12 months.

Other Notes

Click here for more information on observed vs. calculated molecular weight.


Concentration: Please refer to the Certificate of Analysis for the lot-specific concentration.

Legal Information

CHEMICON is a registered trademark of Merck KGaA, Darmstadt, Germany

Disclaimer

Unless otherwise stated in our catalog or other company documentation accompanying the product(s), our products are intended for research use only and are not to be used for any other purpose, which includes but is not limited to, unauthorized commercial uses, in vitro diagnostic uses, ex vivo or in vivo therapeutic uses or any type of consumption or application to humans or animals.

Not finding the right product?  

Try our Product Selector Tool.

Storage Class

10 - Combustible liquids

wgk

WGK 2

flash_point_f

Not applicable

flash_point_c

Not applicable


Certificates of Analysis (COA)

Search for Certificates of Analysis (COA) by entering the products Lot/Batch Number. Lot and Batch Numbers can be found on a product’s label following the words ‘Lot’ or ‘Batch’.

Already Own This Product?

Find documentation for the products that you have recently purchased in the Document Library.

Visit the Document Library

Mini Jeong et al.
International journal of molecular sciences, 24(2) (2023-01-22)
Rheumatoid arthritis (RA) is an inflammatory disease marked by a massive proliferation of synovial cells in the joints. In this study, we investigated the pro-apoptotic effects of docosahexaenoic acid (DHA) in human fibroblast-like synovial cells from RA patients (RA-FLS). An
Andrei Alexandru Constantinescu et al.
Methods in molecular biology (Clifton, N.J.), 1557, 19-31 (2017-01-13)
Analysis of CD95/Fas complexes by immunoprecipitation has long relied on the monoclonal antibody APO1 or tagged recombinant Fas ligand. Immunoprecipitation is an elegant and efficient procedure to investigate endogenous protein interactions or complexes. Provided that the targeted complex is soluble
Marie-Laure Plissonnier et al.
Oncotarget, 8(64), 107744-107762 (2018-01-04)
Known activators of the Peroxisome Proliferator-Activated Receptor γ (PPARγ), thiazolidinediones (TZD) induce apoptosis in a variety of cancer cells through dependent and/or independent mechanisms of the receptor. We tested a panel of TZD (Rosiglitazone, Pioglitazone, Ciglitazone) to shed light on
Florent Dufour et al.
Oncotarget, 8(6), 9974-9985 (2017-01-01)
TRAIL induces selective tumor cell death through TRAIL-R1 and TRAIL-R2. Despite the fact that these receptors share high structural homologies, induction of apoptosis upon ER stress, cell autonomous motility and invasion have solely been described to occur through TRAIL-R2. Using
Mohammed I Y Elmallah et al.
Oncology reports, 37(6), 3635-3642 (2017-04-26)
Tumor necrosis factor-related apoptosis-inducing ligand (TRAIL) is a promising anticancer agent, as it can kill tumor cells selectively. In our search of bioactive natural products to overcome TRAIL-resistance, we isolated 47 actinomycete strains from different sediments and seawater samples collected

Related Content

Global Trade Item Number

SKUGTIN
AB1694204053252269158

Our team of scientists has experience in all areas of research including Life Science, Material Science, Chemical Synthesis, Chromatography, Analytical and many others.

Contact Technical Service