Skip to Content
Merck

MABN486

Anti-Co-Rest/RCOR1 Antibody, clone K72/8

clone K72/8, from mouse

Synonym(s):

REST corepressor 1, Protein CoREST

Sign In to View Organizational & Contract Pricing.

Select a Size


About This Item

UNSPSC Code:
12352203
NACRES:
NA.41
eCl@ss:
32160702
Conjugate:
unconjugated
Clone:
K72/8, monoclonal
Application:
ICC, IHC, WB
Citations:
4
Technical Service
Need help? Our team of experienced scientists is here for you.
Let Us Assist
Technical Service
Need help? Our team of experienced scientists is here for you.
Let Us Assist

biological source

mouse

conjugate

unconjugated

antibody form

purified immunoglobulin

antibody product type

primary antibodies

clone

K72/8, monoclonal

species reactivity

rat, human, mouse

technique(s)

immunocytochemistry: suitable, immunohistochemistry: suitable, western blot: suitable

isotype

IgG1

NCBI accession no.

UniProt accession no.

shipped in

wet ice

target post-translational modification

unmodified

Quality Level

Gene Information

human ... RCOR1(23186)

General description

REST corepressor 1(RCOR1, CoREST) is an essential component of the BHC corepressor complex that represses transcription of neuron-specific genes in non-neuronal cells by deacetylating and demethylating specific sites on histones, thereby acting as a chromatin modifier. RCOR1 also promotes the demethylase activity of KDM1A on core histones and nucleosomal substrates and plays a central role in demethylation of Lys-4 of histone H3. Furthermore, RCOR1 is a component of a RCOR/GFI/KDM1A/HDAC complex that suppresses a number of genes implicated in multilineage blood cell development and controls hematopoietic differentiation. RCOR1 is ubiquitously expressed and is primarily found in the nucleus, but is partially translocated into the cytoplasm upon HSV-1 infection.
~ 65 kDa observed. The calculated molecular weight is 53 kDa, however Co-Rest/RCOR1 has been shown as a ~65-70 kDa band in western blots (You, A., et al. (2001). National Academy of Sciences. 98(4):1454-1458)(Min, G. L., et al. (2005). Nature. 437:432-435).

Immunogen

Recombinant protein corresponding to human Co-Rest/RCOR1.

Application

Anti-Co-Rest/RCOR1 Antibody, clone K72/8 is a highly specific mouse monoclonal antibody, that targets CoRest & has been tested in western blotting, IHC & ICC.
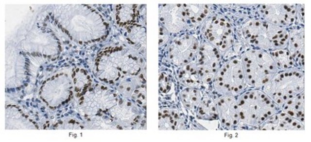
Immunohistochemistry Analysis: A 1:250 dilution from a representative lot detected Co-Rest/RCOR1 in human stomach tissue.
Immunocytochemistry Analysis: A representative lot detected Co-Rest/RCOR1 in COS-1 cells expressing Myc-tagged Co-Rest. (Prof. J. Trimmer, University of California, Davis.).
Research Category
Neuroscience
Research Sub Category
Developmental Signaling

Biochem/physiol Actions

This antibody may cross react with human RCOR3 based upon 70% sequence homology.

Physical form

Format: Purified
Protein G Purified
Purified mouse monoclonal IgG1 in buffer containing 0.1 M Tris-Glycine (pH 7.4), 150 mM NaCl with 0.05% sodium azide.

Preparation Note

Stable for 1 year at 2-8°C from date of receipt.

Analysis Note

Control
Jurkat cell lysate
Evaluated by Western Blotting in Jurkat cell lysate.

Western Blotting Analysis: 1.0 µg/mL of this antibody detected Co-Rest/RCOR1 in 10 µg of Jurkat cell lysate.

Other Notes

Concentration: Please refer to the Certificate of Analysis for the lot-specific concentration.

Disclaimer

Unless otherwise stated in our catalog or other company documentation accompanying the product(s), our products are intended for research use only and are not to be used for any other purpose, which includes but is not limited to, unauthorized commercial uses, in vitro diagnostic uses, ex vivo or in vivo therapeutic uses or any type of consumption or application to humans or animals.

Not finding the right product?  

Try our Product Selector Tool.

Storage Class

12 - Non Combustible Liquids

wgk

WGK 1

flash_point_f

Not applicable

flash_point_c

Not applicable


Certificates of Analysis (COA)

Search for Certificates of Analysis (COA) by entering the products Lot/Batch Number. Lot and Batch Numbers can be found on a product’s label following the words ‘Lot’ or ‘Batch’.

Already Own This Product?

Find documentation for the products that you have recently purchased in the Document Library.

Visit the Document Library

Yan Xiong et al.
The Journal of clinical investigation, 130(4), 1830-1842 (2020-01-10)
Foxp3+ Tregs are key to immune homeostasis, but the contributions of various large, multiprotein complexes that regulate gene expression remain unexplored. We analyzed the role in Tregs of the evolutionarily conserved CoREST complex, consisting of a scaffolding protein, Rcor1 or
Seda Kilinc et al.
Molecular and cellular neurosciences, 74, 58-70 (2016-03-08)
Mammalian olfaction depends on the development of specialized olfactory sensory neurons (OSNs) that each express one odorant receptor (OR) protein from a large family of OR genes encoded in the genome. The lysine-specific demethylase-1 (LSD1) protein removes activating H3K4 or
Masaki Hiramoto et al.
International journal of molecular medicine, 41(2), 717-728 (2017-12-06)
Although genome-wide association studies have shown that potassium voltage-gated channel subfamily Q member 1 (KCNQ1) is one of the genes that is most significantly associated with type 2 diabetes mellitus (T2DM), functionally annotating disease-associated single nucleotide polymorphisms (SNPs) remains a challenge. Recently, our group described
Rutesh N Vyas et al.
Molecular and cellular neurosciences, 82, 1-11 (2017-04-18)
Function of the mammalian olfactory system depends on specialized olfactory sensory neurons (OSNs) that each express only one allele ("monoallelic") of one odorant receptor (OR) gene ("monogenic"). The lysine-specific demethylase-1 (LSD1) protein removes activating H3K4 or silencing H3K9 methylation marks

Global Trade Item Number

SKUGTIN
MABN48604053252888571

Our team of scientists has experience in all areas of research including Life Science, Material Science, Chemical Synthesis, Chromatography, Analytical and many others.

Contact Technical Service