Skip to Content
Merck

ABN1038

Anti-Fbxo7 Antibody

Synonym(s):

F-box only protein 7|Fbxo7

Sign In to View Organizational & Contract Pricing.

Select a Size


About This Item

UNSPSC Code:
12352203
NACRES:
NA.41
eCl@ss:
32160702
Clone:
polyclonal
Species reactivity:
mouse, human
Application:
ICC, IHC, WB
Citations:
-
Technical Service
Need help? Our team of experienced scientists is here for you.
Let Us Assist
Technical Service
Need help? Our team of experienced scientists is here for you.
Let Us Assist

biological source

rabbit

clone

polyclonal

species reactivity

mouse, human

technique(s)

immunocytochemistry: suitable, immunohistochemistry: suitable, western blot: suitable

General description

F-box only protein 7 (UniProt Q9Y3I1) is encoded by the FBXO7 (Also known as FBX, FBX7, PKPS, FBX07, PARK15) gene in human (Gene ID 25793). The Skp1-Cul1-F box protein (SCF) E3 ubiquitin ligase complexes rely on their F-box protein component for substrate recognition. In addition to Fbxs, to which Fbxo7 belongs, there exist two other classes of F-box proteins, Fbws and Fbls. Fbxo7 recruits substrate via its C-terminal proline rich domain and associates with the adapter protein Skp1 via its F-box domain. In addition to mediating SCF-dependent ubiquitination, Fbxo7 is also involved in SCF-independent activities. Fbxo7 is reported to participate in autophagic clearance of damaged mitochondria (mitophagy) in response to mitochondrial depolarisation through direct interaction with PINK1 (PARK6) and Parkin (PARK2), while Parkinson′s disease-associated Fbxo7 mutations affect Parkin mitochondrial translocation and Parkin-mediated mitophagy.

Immunogen

KLH-conjugated linear peptide corresponding to the C-terminus of human Fbxo7.

Application

Anti-Fbxo7 Antibody is an antibody against Fbxo7 for use in Western Blotting, Immunohistochemistry, Immunocytochemistry.
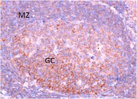
Immunohistochemistry Analysis: A 1:400 dilution from a representative lot detected Fbxo7 in human tonsil tissue.
Western Blotting Analysis: A 1:1,000 dilution from a representative lot detected Fbxo7 using U2OS cells transfected with constructs expres

Analysis Note

Evaluated by Western Blotting in Jurkat cell lysate.

Western Blotting Analysis: 1.0 ug/mL of this antibody detected Fbxo7 in 10 ug of Jurkat cell lysate.

Other Notes

Unless otherwise stated in our catalog or other company documentation accompanying the product(s), our products are intended for research use only and are not to be used for any other purpose, which includes but is not limited to, unauthorized commercial

Certificates of Analysis (COA)

Search for Certificates of Analysis (COA) by entering the products Lot/Batch Number. Lot and Batch Numbers can be found on a product’s label following the words ‘Lot’ or ‘Batch’.

Already Own This Product?

Find documentation for the products that you have recently purchased in the Document Library.

Visit the Document Library

Related Content

A major focus of breast cancer research is to understand the mechanisms responsible for disease progression and drug resistance. Toward that end, it has been found that approximately two thirds of all human breast carcinomas overexpress the Estrogen Receptor α (ERα) protein and it remains the primary pharmacological target for endocrine therapy1,2. The normal cellular function of ERα is as a transcription factor that mediates a wide variety of physiological processes, many of which are dependent upon phosphorylation of the receptor at specific amino acid residues3,4. Indeed, ERα is known to be phosphorylated at a multitude of different sites, yet how these all correlate to disease remains unclear5. Here, we interrogated multiple sites of ERα for phosphorylation status by screening an extensive panel of different breast cancer patient samples and other non-breast cancer tissue microarray (TMA) slide samples to determine their relevance to disease.

Our team of scientists has experience in all areas of research including Life Science, Material Science, Chemical Synthesis, Chromatography, Analytical and many others.

Contact Technical Service