Skip to Content
Merck

Key Documents

AB3420-I

Sigma-Aldrich

Anti-Surfactant Protein A Antibody

from rabbit

Synonym(s):

Pulmonary surfactant-associated protein A1, PSP-A, PSPA, SP-A, SP-A1, 35 kDa pulmonary surfactant-associated protein, Alveolar proteinosis protein, Collectin-4

Sign Into View Organizational & Contract Pricing

Select a Size



About This Item

UNSPSC Code:
12352203
eCl@ss:
32160702
NACRES:
NA.41

biological source

rabbit

Quality Level

conjugate

unconjugated

antibody form

purified antibody

antibody product type

primary antibodies

clone

polyclonal

species reactivity

human, mouse

species reactivity (predicted by homology)

primate (based on 100% sequence homology)

technique(s)

immunohistochemistry: suitable (paraffin)
western blot: suitable

NCBI accession no.

UniProt accession no.

shipped in

wet ice

target post-translational modification

unmodified

Gene Information

human ... SFTPA1(653509)
mouse ... Sftpd(20390)

General description

Pulmonary surfactant-associated protein A1 (SP-A1, SFTPA1, PSP-A, SP-A) binds to surfactant phospholipids and contributes to lower the surface tension at the air-liquid interface in the alveoli of the mammalian lung and is essential for normal respiration. There are four main surfactant proteins, known as SP-A, B, C, and D. SP-A was the first surfactant protein to be identified, and is also the most abundant. Its molecular mass varies from 26-38 kDa. It can be found in an open or closed form depending on the other substances present in the system. Calcium ions produce the closed-bouquet form. SP-A is necessary for the production of tubular myelin, a lipid transport structure unique to the lungs. Genetic variations in SP-A are a cause of susceptibility to pulmonary fibrosis idiopathic (IPF) and respiratory distress syndrome in premature infants (RDS).
~35 kDa observed

Immunogen

Epitope: C-type lectin domain
KLH-conjugated linear peptide corresponding to the C-type lectin domain of human Surfactant Protein A.

Application

Detect SP-A using this rabbit polyclonal antibody, Anti-Surfactant Protein A Antibody validated for use in western blotting & IHC (Paraffin).
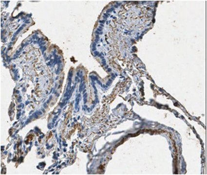
Immunohistochemistry Analysis: A 1:200 dilution from a representative lot detected Surfactant Protein A in human lung tissue.
Research Category
Neuroscience
Research Sub Category
Developmental Signaling

Biochem/physiol Actions

Other homologies: Uniprot shows no homology to Rat.
This antibody recognizes the C-type lectin domain of Surfactant Protein A.

Physical form

Format: Purified
Protein A purified
Purified rabbit polyclonal in buffer containing 0.1 M Tris-Glycine (pH 7.4), 150 mM NaCl with 0.05% sodium azide.

Preparation Note

Stable for 1 year at 2-8°C from date of receipt.

Analysis Note

Control
Human lung tissue lysate
Evaluated by Western Blotting in human lung tissue lysate.

Western Blotting Analysis: 0.5 µg/mL of this antibody detected Surfactant Protein A in 10 µg of human lung tissue lysate.

Other Notes

Concentration: Please refer to the Certificate of Analysis for the lot-specific concentration.
Replaces: AB3420

Disclaimer

Unless otherwise stated in our catalog or other company documentation accompanying the product(s), our products are intended for research use only and are not to be used for any other purpose, which includes but is not limited to, unauthorized commercial uses, in vitro diagnostic uses, ex vivo or in vivo therapeutic uses or any type of consumption or application to humans or animals.

Not finding the right product?  

Try our Product Selector Tool.

Storage Class Code

12 - Non Combustible Liquids

WGK

WGK 1

Flash Point(F)

Not applicable

Flash Point(C)

Not applicable


Certificates of Analysis (COA)

Search for Certificates of Analysis (COA) by entering the products Lot/Batch Number. Lot and Batch Numbers can be found on a product’s label following the words ‘Lot’ or ‘Batch’.

Already Own This Product?

Find documentation for the products that you have recently purchased in the Document Library.

Visit the Document Library

M Neuhaus et al.
Inflammation research : official journal of the European Histamine Research Society ... [et al.], 68(7), 529-544 (2019-05-16)
Pseudomonas aeruginosa (PA) is the most important opportunistic pathogen in causing nosocomial infections and, furthermore, poses a permanent threat for severe chronic infections in patients with cystic fibrosis or COPD. The transmembrane protein CD26 with dipeptidyl peptidase-4 (DPP4) activity shows
Rosario Barranco et al.
International journal of legal medicine, 133(5), 1461-1467 (2019-06-22)
The diagnosis of drowning is one of the most difficult in forensic medicine. The aim of this study was to analyze pulmonary tissue reactions in death by drowning. In particular, we focused on the immunohistochemical expression of P-selectin, SP-A, HSP70
George T Noutsios et al.
International forum of allergy & rhinology, 7(9), 897-903 (2017-07-21)
Chronic rhinosinusitis (CRS) is a common inflammatory disorder of the upper airway characterized by chronic inflammation and significant sinonasal remodeling. CRS is comprised of 2 major subgroups, based on whether polyps are present or absent. In some cases, it is
Zhoufeng Wang et al.
Nature communications, 12(1), 6500-6500 (2021-11-13)
Lung adenocarcinomas (LUAD) arise from precancerous lesions such as atypical adenomatous hyperplasia, which progress into adenocarcinoma in situ and minimally invasive adenocarcinoma, then finally into invasive adenocarcinoma. The cellular heterogeneity and molecular events underlying this stepwise progression remain unclear. In
Sander van Riet et al.
American journal of physiology. Lung cellular and molecular physiology, 322(4), L526-L538 (2022-02-10)
Development of effective treatment strategies for lung tissue destruction as seen in emphysema would greatly benefit from representative human in vitro models of the alveolar compartment. Studying how cellular cross talk and/or (altered) biomechanical cues affect alveolar epithelial function could

Global Trade Item Number

SKUGTIN
AB3420-I04053252904585

Our team of scientists has experience in all areas of research including Life Science, Material Science, Chemical Synthesis, Chromatography, Analytical and many others.

Contact Technical Service