Skip to Content
Merck

MABN849

Anti-CaBP1 Antibody, clone 11E7.1

clone 11E7.1, from mouse

Synonym(s):

Calcium-binding protein 1, CaBP1, Caldendrin

Sign In to View Organizational & Contract Pricing.

Select a Size


About This Item

UNSPSC Code:
12352203
NACRES:
NA.41
eCl@ss:
32160702
Technical Service
Need help? Our team of experienced scientists is here for you.
Let Us Assist
Technical Service
Need help? Our team of experienced scientists is here for you.
Let Us Assist

Product Name

Anti-CaBP1 Antibody, clone 11E7.1, clone 11E7.1, from mouse

biological source

mouse

antibody form

purified immunoglobulin

antibody product type

primary antibodies

clone

11E7.1, monoclonal

species reactivity

mouse, human

technique(s)

immunohistochemistry: suitable (paraffin)
western blot: suitable

isotype

IgG1κ

NCBI accession no.

UniProt accession no.

shipped in

wet ice

target post-translational modification

unmodified

Gene Information

human ... CABP1(9478)

Analysis Note

Evaluated by Western Blotting in human brain tissue lysate.

Western Blotting Analysis: 0.5 µg/mL of this antibody detected CaBP1 in 10 µg of human brain tissue lysate.

Application

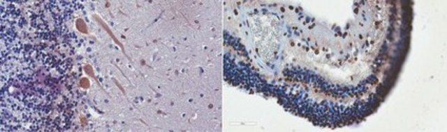
Immunohistochemistry Analysis: An 1:250 dilution from a representative lot detected CaBP1 in human cerebellum and human retina tissue.
This Anti-CaBP1 Antibody, clone 11E7.1 is validated for use in Western Blotting, Immunohistochemistry (Paraffin) for the detection of CaBP1.

Biochem/physiol Actions

Clone 11E7.1 recognizes an internal epitope in spliced isoform Caldendrin (UniProt Q9NZU7-4). The exact location of the epitope has not been mapped. Although not confirmed by direct testing, this monoclonal antibody most likely also reacts with spliced isoform L-CaBP1 (Caldendrin-S2; UniProt Q9NZU7-1), while cross-reactivity toward isoform S-CaBP1 (Caldendrin-S1; UniProt Q9NZU7-2) and isoform Calbrain (UniProt Q9NZU7-3) is unlikely.

General description

Calcium-binding protein 1 (UniProt Q9NZU7; also known as CaBP1, Calbrain, Caldendrin) is encoded by the CABP1 gene (Gene ID 9478) in human. Caldendrin is the founding member of the nCaBP family of neuronal Ca2+-inding proteins, members of which also include CaBP2 through CaBP8. nCaBPs and neuronal calcium sensor (NCS) family members are EF-hand-type calmodulin- (CaM-) like Ca2+-sensor proteins that play important roles in neuronal Ca2+-signaling. In addition to Caldendrin, the CABP1 gene produces three other alternative splicing isoforms, L-CaBP1/Caldendrin-S2, S-CaBP1/Caldendrin-S1, and Calbrain, with varying truncated N-terminal sequence. Caldendrin, L- and S-CaBP1 share four common EF-hands, while the Calbrain isoform contains only the third and fourth EF-hands and lacks the first two. EF-hand 1 constitutively binds Mg2+ and EF-hands 3 and 4 mediate high affinity Ca2+ binding, whereas EF-hand 2 does not bind either Mg2+ or Ca2+. In addition, Caldendrin lacks the N-myristoylation sequence present in L- and S-CaBP1 and many NCS proteins. The unique Caldendrin N-terminal sequence not found in the other spliced isoforms is bipartite in nature, composed of a highly basic proline-rich N-terminal and an acidic C-terminal part. Caldendrin and S-CaBP1 are reported to interact with the L-type voltage-gated calcium channel (VGCC) Cav1.2 via different molecular determinants, and dispaly different effects on Cav1.2 channel activity.
~40 kDa observed. 39.8 kDa (isoform Caldendrin), 25.0 kDa (Isoform L-CaBP1; Caldendrin-S2), 19.4 kDa (Isoform S-CaBP1; Caldendrin-S1), 8.14 kDa (Isoform Calbrain) calculated.

Immunogen

GST-tagged recombinant human CaBP1 internal fragment.

Other Notes

Concentration: Please refer to lot specific datasheet.

Physical form

Format: Purified

Not finding the right product?  

Try our Product Selector Tool.

Storage Class

12 - Non Combustible Liquids

wgk

WGK 1

flash_point_f

Not applicable

flash_point_c

Not applicable


Certificates of Analysis (COA)

Search for Certificates of Analysis (COA) by entering the products Lot/Batch Number. Lot and Batch Numbers can be found on a product’s label following the words ‘Lot’ or ‘Batch’.

Already Own This Product?

Find documentation for the products that you have recently purchased in the Document Library.

Visit the Document Library

Related Content

Alzheimer’s Disease is a progressively deteriorating disease. It manifests itself with memory loss, confusion, problems with judgment, planning, concentration, and personality changes; and in it’s later stages, a decline in physical abilities. The disease’s causes, cures, and preventions are unknown; however, key proteins likely involved in the degenerative mechanism have been identified. Alzheimer’s Disease is characterized by neuronal loss, alterations in neurotransmitter systems, and the presence of neurofibrillary tangles composed of abnormally hyperphosphorylated tau proteins. A prominent feature of Alzheimer’s Disease is the formation of senile plaques in selected regions of the brain. The center of these plaques are composed mainly of fibrillary aggregates of a common, but not well understood, b amyloid peptides (Aβ). The Aβ peptides are generated from the larger amyloid-β precursor protein (APP) by the sequential action of β- and γ-secretase, and it is generally accepted that oligomeric forms of this Aβ are neurotoxic, resulting in disease progression.

Our team of scientists has experience in all areas of research including Life Science, Material Science, Chemical Synthesis, Chromatography, Analytical and many others.

Contact Technical Service