MABN1849 Sigma-AldrichAnti-Cereblon Antibody, clone 4A7H6
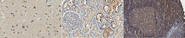
Detect Cereblon using this mouse monoclonal antibody, Anti-Cereblon, clone 4A7H6, Cat. No. MABN1849, validated for use in Immunohistochemistry (Paraffin) and Western Blotting.
More>> Detect Cereblon using this mouse monoclonal antibody, Anti-Cereblon, clone 4A7H6, Cat. No. MABN1849, validated for use in Immunohistochemistry (Paraffin) and Western Blotting. Less<<Recommended Products
Overview
| Replacement Information |
|---|
Key Spec Table
| Species Reactivity | Key Applications | Host | Format | Antibody Type |
|---|---|---|---|---|
| H | WB, IH(P) | M | Purified | Monoclonal Antibody |
| References |
|---|
| Product Information | |
|---|---|
| Format | Purified |
| Presentation | Purified mouse IgG1 in buffer containing 0.1 M Tris-Glycine (pH 7.4), 150 mM NaCl with 0.05% sodium azide. |
| Quality Level | MQ100 |
| Physicochemical Information |
|---|
| Dimensions |
|---|
| Materials Information |
|---|
| Toxicological Information |
|---|
| Safety Information according to GHS |
|---|
| Safety Information |
|---|
| Storage and Shipping Information | |
|---|---|
| Storage Conditions | Stable for 1 year at 2-8°C from date of receipt. |
| Packaging Information | |
|---|---|
| Material Size | 100 µL |
| Transport Information |
|---|
| Supplemental Information |
|---|
| Specifications |
|---|
| Global Trade Item Number | |
|---|---|
| Catalogue Number | GTIN |
| MABN1849 | 04054839057847 |
Documentation
Anti-Cereblon Antibody, clone 4A7H6 SDS
| Title |
|---|
Anti-Cereblon Antibody, clone 4A7H6 Certificates of Analysis
| Title | Lot Number |
|---|---|
| Anti-Cereblon, clone 4A7H6 - 3393275 | 3393275 |
| Anti-Cereblon, clone 4A7H6 - 3995085 | 3995085 |
| Anti-Cereblon, clone 4A7H6 -Q2737528 | Q2737528 |



