Skip to Content
Merck

05-1336

Anti-phospho-Histone H3 (Ser10) Antibody, clone CMA312

clone CMA312, from mouse

Synonym(s):

H3S10P, Histone H3 (phospho S10), H3 histone, family 3A

Sign In to View Organizational & Contract Pricing.

Select a Size



About This Item

UNSPSC Code:
12352203
NACRES:
NA.41
eCl@ss:
32160702

Product Name

Anti-phospho-Histone H3 (Ser10) Antibody, clone CMA312, clone CMA312, from mouse

biological source

mouse

antibody form

purified antibody

antibody product type

primary antibodies

clone

CMA312, monoclonal

species reactivity

vertebrates, human

technique(s)

ChIP: suitable
ELISA: suitable
immunocytochemistry: suitable
multiplexing: suitable
western blot: suitable

isotype

IgG1

NCBI accession no.

UniProt accession no.

shipped in

wet ice

target post-translational modification

phosphorylation (pSer10)

Quality Level

Gene Information

human ... H3C1(8350)

Analysis Note

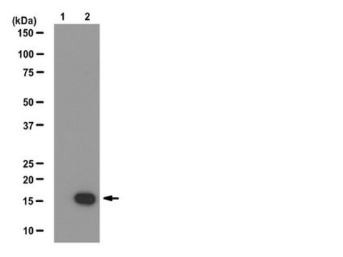
Western Blot Analysis: 1 μg/mL of this antibody detected phospho-Histone H3 (Ser10) on 1 μg of colcemid-treated HeLa acid extract.

Application

ELISA: This antibody has been shown by an outside laboratory to be suitable for ELISA.1
Immunocytochemistry: This antibody has been shown by an outside laboratory to be suitable for immunocytochemistry.1
Multiplexing:
This antibody specifically recognizes histone H3 phosphorylated on Ser10 by Luminex® assay.

Biochem/physiol Actions

Broad species cross-reactivity is expected, based on sequence homology.

General description

Histones are highly conserved proteins that serve as the structural scaffold for the organization of nuclear DNA into chromatin. The four core histones, H2A, H2B, H3, and H4, assemble into an octamer (2 molecules of each). Subsequently, 146 base pairs of DNA are wrapped around the octamer, forming the nucleosome. Histones are modified post-translationally; and these modifications regulate DNA transcription, repair, recombination, and replication. The most commonly studied modifications are acetylation, phosphorylation, methylation, and ubiquitination. Phosphorylation at Ser10, which is linked to gene activation, prevents methylation at Lys9 but facilitates acetylation of H3 and H4. Phosphorylated Ser10 is crucial for chromosome condensation and cell-cycle progression during mitosis and meiosis. In addition, Ser10 phosphorylation is also an essential regulatory mechanism for neoplastic cell transformation. Phosphorylation at Ser10 by Aurora-B mediates the dissociation of HP1 proteins (CBX1, CBX3 and CBX5) from heterochromatin.
Anti-phospho-Histone H3 (Ser10) Antibody, clone CMA312 is a mouse monoclonal antibody for detection of phospho-Histone H3 (Ser10) also known as H3S10P, Histone H3 (phospho S10) & has been validated in WB, ELISA, ICC, Multiplexing and ChIP.
~17 kDa

Other Notes

Concentration: Please refer to the Certificate of Analysis for the lot-specific concentration.
Replaces: 04-1093

Physical form

Format: Purified

Legal Information

Luminex is a registered trademark of Luminex Corp

Not finding the right product?  

Try our Product Selector Tool.

Storage Class

10 - Combustible liquids

wgk

WGK 2

flash_point_f

Not applicable

flash_point_c

Not applicable


Certificates of Analysis (COA)

Search for Certificates of Analysis (COA) by entering the products Lot/Batch Number. Lot and Batch Numbers can be found on a product’s label following the words ‘Lot’ or ‘Batch’.

Already Own This Product?

Find documentation for the products that you have recently purchased in the Document Library.

Visit the Document Library

Roswitha Nast et al.
Frontiers in immunology, 11, 581241-581241 (2020-10-20)
Host defense against the human pathogen Toxoplasma gondii depends on secretion of interferon (IFN)-γ and subsequent activation of monocytic cells to combat intracellular parasites. Previous studies have shown that T. gondii evades IFN-γ-mediated immunity by secreting the effector TgIST into
Anna Alexovič Matiašová et al.
The Journal of comparative neurology, 525(3), 693-707 (2016-08-10)
According to previous opinion, the derivation of neurons and glia from the central canal (CC) lining of the spinal cord in rodents should occur in the embryonic period. Reports of the mitotic activity observed in the lining during postnatal development
Manjit Singh et al.
The Plant cell, 23(2), 443-458 (2011-02-18)
Apomixis is a form of asexual reproduction through seeds in angiosperms. Apomictic plants bypass meiosis and fertilization, developing offspring that are genetically identical to their mother. In a genetic screen for maize (Zea mays) mutants mimicking aspects of apomixis, we
Elizabeth N Schock et al.
PloS one, 12(3), e0174206-e0174206 (2017-03-28)
Primary cilia are nearly ubiquitous, cellular projections that function to transduce molecular signals during development. Loss of functional primary cilia has a particularly profound effect on the developing craniofacial complex, causing several anomalies including craniosynostosis, micrognathia, midfacial dysplasia, cleft lip/palate
D'Juan T Farmer et al.
Development (Cambridge, England), 148(16) (2021-08-03)
Proper function of the vertebrate skeleton requires the development of distinct articulating embryonic cartilages. Irx transcription factors are arranged in co-regulated clusters that are expressed in the developing skeletons of the face and appendages. IrxB cluster genes are required for

Global Trade Item Number

SKUGTIN
05-133604053252512711

Our team of scientists has experience in all areas of research including Life Science, Material Science, Chemical Synthesis, Chromatography, Analytical and many others.

Contact Technical Service