Sign In to View Organizational & Contract Pricing.
Select a Size
About This Item
UNSPSC Code:
12352203
NACRES:
NA.41
eCl@ss:
32160702
biological source
rabbit
antibody product type
primary antibodies
clone
polyclonal
species reactivity
human, eukaryotes
manufacturer/tradename
Upstate®
technique(s)
immunocytochemistry: suitable, immunoprecipitation (IP): suitable, western blot: suitable
isotype
IgG
NCBI accession no.
UniProt accession no.
shipped in
dry ice
Quality Level
General description
Histone H3 is one of the five main histone proteins involved in the structure of chromatin in eukaryotic cells. Featuring a main globular domain and a long N-terminal tail, H3 is involved with the structure of the nucleosomes of the ′beads on a string′ structure. The N-terminal tail of histone H3 protrudes from the globular nucleosome core and can undergo several different types of epigenetic modifications that influence cellular processes. These modifications include the covalent attachment of methyl or acetyl groups to lysine and arginine amino acids and the phosphorylation of serine or threonine.
Approx. 17 kDa
Immunogen
KLH-conjugated synthetic peptide (ARKSTGG[AcK]APR-GC) corresponding to amino acids 7-17 of Histone-H3.
Application
Immunoprecipitation:
1 μg of a previous lot immunoprecipitated acetylated Histone-H3 from 500 μg of an acid precipitate of sodium butyrate treated HeLa cells.
Immunocytochemistry:
Not determined.
1 μg of a previous lot immunoprecipitated acetylated Histone-H3 from 500 μg of an acid precipitate of sodium butyrate treated HeLa cells.
Immunocytochemistry:
Not determined.
Research Category
Epigenetics & Nuclear Function
Epigenetics & Nuclear Function
Research Sub Category
Histones
Histones
Use Anti-acetyl-Histone H3 (Lys14) Antibody (Rabbit Polyclonal Antibody) validated in ICC, IP, WB to detect acetyl-Histone H3 (Lys14) also known as H3K14Ac, Histone H3 (acetyl K14).
Biochem/physiol Actions
Recognizes Histone-H3, Mr 17 kDa, acetylated at position 14.
This peptide sequence is identical in a wide range of animal and plant species.
Physical form
Format: Purified
Protein A purified
Purified rabbit polyclonal IgG in buffer containing 0.02 M phosphate buffer, pH 7.6, 0.25 M NaCl, 0.1% sodium azide and 30% glycerol. Store at -20°C.
Preparation Note
Stable for 1 year at -20°C from date of receipt.
Handling Recommendations: Upon first thaw, and prior to removing the cap, centrifuge the vial and gently mix the solution. Aliquot into microcentrifuge tubes and store at -20°C. Avoid repeated freeze/thaw cycles, which may damage IgG and affect product performance. Note: Variabillity in freezer temperatures below -20°C may cause glycerol containing solutions to become frozen during storage.
Handling Recommendations: Upon first thaw, and prior to removing the cap, centrifuge the vial and gently mix the solution. Aliquot into microcentrifuge tubes and store at -20°C. Avoid repeated freeze/thaw cycles, which may damage IgG and affect product performance. Note: Variabillity in freezer temperatures below -20°C may cause glycerol containing solutions to become frozen during storage.
Analysis Note
Control
Sodium butyrate treated acid extracted proteins from HeLa cells.
Sodium butyrate treated acid extracted proteins from HeLa cells.
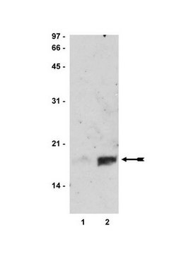
Routinely evaluated by Western Blot on sodium butyrate treated acid extracted proteins from HeLa cells.
Western Blot Analysis:
0.5-1.0 μg/mL of this lot detected acetylated Histone-H3 in acid extracted proteins from HeLa cells. Sodium butyrate, an inhibitor of histone deacetylases, was used to enhance detection of acetylated Histone-H3.
Western Blot Analysis:
0.5-1.0 μg/mL of this lot detected acetylated Histone-H3 in acid extracted proteins from HeLa cells. Sodium butyrate, an inhibitor of histone deacetylases, was used to enhance detection of acetylated Histone-H3.
Other Notes
Concentration: Please refer to the Certificate of Analysis for the lot-specific concentration.
Legal Information
UPSTATE is a registered trademark of Merck KGaA, Darmstadt, Germany
Disclaimer
Unless otherwise stated in our catalog or other company documentation accompanying the product(s), our products are intended for research use only and are not to be used for any other purpose, which includes but is not limited to, unauthorized commercial uses, in vitro diagnostic uses, ex vivo or in vivo therapeutic uses or any type of consumption or application to humans or animals.
Not finding the right product?
Try our Product Selector Tool.
Storage Class
10-13 - German Storage Class 10 to 13
Certificates of Analysis (COA)
Search for Certificates of Analysis (COA) by entering the products Lot/Batch Number. Lot and Batch Numbers can be found on a product’s label following the words ‘Lot’ or ‘Batch’.
Already Own This Product?
Find documentation for the products that you have recently purchased in the Document Library.
Effect of the enucleation procedure on the reprogramming potential and developmental capacity of mouse cloned embryos treated with valproic acid.
Costa-Borges, N; Gonzalez, S; Santalo, J; Iba?ez, E
Reproduction (Cambridge, England) null
Comparison between the Effects of Valproic Acid and Trichostatin A on the In Vitro Development, Blastocyst Quality, and Full-Term Development of Mouse Somatic Cell Nuclear Transfer Embryos.
Costa-Borges, Nuno, et al.
Cellular Reprogramming, 12, 437-446 (2010)
Tibor Pankotai et al.
BMC genomics, 14, 44-44 (2013-01-23)
ADA2 proteins, together with ADA3, SGF29 and GCN5 form the acetyltransferase module of GNAT-type histone acetyltransferase complexes. ADA2b is present in the SAGA complex, which plays roles in various chromatin-related processes via histone H3 modifications and by other mechanisms. In
Feng Tie et al.
Proceedings of the National Academy of Sciences of the United States of America, 113(6), E744-E753 (2016-01-24)
Drosophila Polycomb (PC), a subunit of Polycomb repressive complex 1 (PRC1), is well known for its role in maintaining repression of the homeotic genes and many others and for its binding to trimethylated histone H3 on Lys 27 (H3K27me3) via
Fiona R Kolbinger et al.
Archives of toxicology, 92(8), 2649-2664 (2018-06-28)
High histone deacetylase (HDAC) 8 and HDAC10 expression levels have been identified as predictors of exceptionally poor outcomes in neuroblastoma, the most common extracranial solid tumor in childhood. HDAC8 inhibition synergizes with retinoic acid treatment to induce neuroblast maturation in
Our team of scientists has experience in all areas of research including Life Science, Material Science, Chemical Synthesis, Chromatography, Analytical and many others.
Contact Technical Service