Skip to Content
Merck

A3361

Anti-ATP13A2 (C-terminal region) antibody produced in rabbit

~1.5 mg/mL, affinity isolated antibody, buffered aqueous solution

Synonym(s):

Anti-ATPase type 13A2, Anti-PARK9

Sign In to View Organizational & Contract Pricing.

Select a Size


About This Item

NACRES:
NA.41
UNSPSC Code:
12352203
Conjugate:
unconjugated
Clone:
polyclonal
Application:
WB
Citations:
11
Technical Service
Need help? Our team of experienced scientists is here for you.
Let Us Assist
Technical Service
Need help? Our team of experienced scientists is here for you.
Let Us Assist

biological source

rabbit

conjugate

unconjugated

antibody form

affinity isolated antibody

antibody product type

primary antibodies

clone

polyclonal

form

buffered aqueous solution

mol wt

antigen ~129 kDa

species reactivity

mouse, human

enhanced validation

recombinant expression
Learn more about Antibody Enhanced Validation

concentration

~1.5 mg/mL

technique(s)

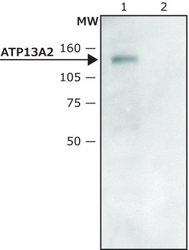
western blot: 1.5-3.0 μg/mL using mouse brain extract (S1 fraction) or HEK-293T cells expressing human ATP13A2

UniProt accession no.

shipped in

dry ice

storage temp.

−20°C

target post-translational modification

unmodified

Quality Level

Gene Information

human ... ATP13A2(23400)

General description

ATP13A2 (ATPase type 13A2, also known as PARK9) is a neuronal P-type ATPase of the P5 subfamily. It is present in the lysosome of transiently transfected cells, whereas the unstable truncated mutants are retained in the endoplasmic reticulum and degraded by the proteasome.
ATP13A2 is a member of the P5 subfamily of P-type transport ATPases which include ATP13A1-ATP13A5. Mutations in ATP3A2 also known as PARK9 are associated with hereditary Parkinson′s disease.
Rabbit anti-ATP13A2 (C-terminal region) antibody is specific for human and mouse ATP13A2. Staining of the ATP13A2 band by immunoblotting is specifically inhibited by the ATP13A2 immunizing peptide.

Application

Applications in which this antibody has been used successfully, and the associated peer-reviewed papers, are given below.
Western Blotting (1 paper)
Rabbit anti-ATP13A2 (C-terminal region) antibody has been used for western blotting applications at a dilution of 1:1000.

Biochem/physiol Actions

ATP13A2 (ATPase type 13A2, also known as PARK9) shows elevated expression levels in the brains of sporadic Parkinson′s disease (PD) patients, suggesting a potential role in the more common forms of PD. It is associated with Kufor-Rakeb syndrome (KRS). KRS is a rare form of hereditary PD with juvenile onset. In addition to typical signs of PD, affected individuals show symptoms of more widespread pyramidal neurodegeneration, including dementia.

Physical form

Solution in 0.01 M phos­phate buffered saline, pH 7.4, containing 15 mM sodium azide.

Disclaimer

Unless otherwise stated in our catalog or other company documentation accompanying the product(s), our products are intended for research use only and are not to be used for any other purpose, which includes but is not limited to, unauthorized commercial uses, in vitro diagnostic uses, ex vivo or in vivo therapeutic uses or any type of consumption or application to humans or animals.

Not finding the right product?  

Try our Product Selector Tool.

Storage Class

12 - Non Combustible Liquids

wgk

nwg

flash_point_f

Not applicable

flash_point_c

Not applicable


Choose from one of the most recent versions:

Certificates of Analysis (COA)

Lot/Batch Number

Don't see the Right Version?

If you require a particular version, you can look up a specific certificate by the Lot or Batch number.

Already Own This Product?

Find documentation for the products that you have recently purchased in the Document Library.

Visit the Document Library

Alejandro Estrada-Cuzcano et al.
Brain : a journal of neurology, 140(2), 287-305 (2017-02-01)
Hereditary spastic paraplegias are heterogeneous neurodegenerative disorders characterized by progressive spasticity of the lower limbs due to degeneration of the corticospinal motor neurons. In a Bulgarian family with three siblings affected by complicated hereditary spastic paraplegia, we performed whole exome
Hereditary parkinsonism with dementia is caused by mutations in ATP13A2, encoding a lysosomal type 5 P-type ATPase
Ramirez A, et al.
Nature Genetics, 38(10), 1184-1184 (2006)
Aaron M Gusdon et al.
Neurobiology of disease, 45(3), 962-972 (2011-12-27)
Mitochondrial dysfunction and autophagy are centrally implicated in Parkinson's disease (PD). Mutations in ATP13A2, which encodes a lysosomal P-type ATPase of unknown function, cause a rare, autosomal recessive parkinsonian syndrome. Lysosomes are essential for autophagy, and autophagic clearance of dysfunctional
David Ramonet et al.
Human molecular genetics, 21(8), 1725-1743 (2011-12-22)
Mutations in the ATP13A2 gene (PARK9, OMIM 610513) cause autosomal recessive, juvenile-onset Kufor-Rakeb syndrome and early-onset parkinsonism. ATP13A2 is an uncharacterized protein belonging to the P(5)-type ATPase subfamily that is predicted to regulate the membrane transport of cations. The physiological
Mark Ainsley Colijn et al.
Neurogenetics (2024-07-18)
Biallelic (autosomal recessive) pathogenic variants in ATP13A2 cause a form of juvenile-onset parkinsonism, termed Kufor-Rakeb syndrome. In addition to motor symptoms, a variety of other neurological and psychiatric symptoms may occur in affected individuals, including supranuclear gaze palsy and cognitive

Related Content

Instructions

Our team of scientists has experience in all areas of research including Life Science, Material Science, Chemical Synthesis, Chromatography, Analytical and many others.

Contact Technical Service