Skip to Content
Merck

HPA004820

Anti-GRHL2 antibody produced in rabbit

Prestige Antibodies® Powered by Atlas Antibodies, affinity isolated antibody, buffered aqueous glycerol solution

Synonym(s):

GRHL2 Antibody - Anti-GRHL2 antibody produced in rabbit, Grhl2 Antibody, Anti-Brother of mammalian grainyhead, Anti-Grainyhead-like protein 2 homolog, Anti-Transcription factor CP2-like 3

Sign In to View Organizational & Contract Pricing.

Select a Size


About This Item

UNSPSC Code:
12352203
NACRES:
NA.41
Human Protein Atlas Number:
Conjugate:
unconjugated
Clone:
polyclonal
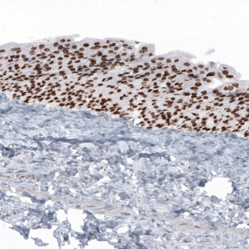
Application:
IHC
Citations:
40
Technical Service
Need help? Our team of experienced scientists is here for you.
Let Us Assist
Technical Service
Need help? Our team of experienced scientists is here for you.
Let Us Assist

biological source

rabbit

conjugate

unconjugated

antibody form

affinity isolated antibody

antibody product type

primary antibodies

clone

polyclonal

product line

Prestige Antibodies® Powered by Atlas Antibodies

form

buffered aqueous glycerol solution

species reactivity

human

enhanced validation

orthogonal RNAseq
Learn more about Antibody Enhanced Validation

technique(s)

immunohistochemistry: 1:500- 1:1000

immunogen sequence

NRVQVLKTVPVNLSLNQDHLENSKREQYSISFPESSAIIPVSGITVVKAEDFTPVFMAPPVHYPRGDGEEQRVVIFEQTQYDVPSLATHSAYLKDDQRSTPDSTYSESFKDAATEKFRSASVGAEEYMYDQTSSGTFQYTLEATKSLRQK

UniProt accession no.

application(s)

research pathology

shipped in

wet ice

storage temp.

−20°C

target post-translational modification

unmodified

Quality Level

Gene Information

human ... GRHL2(79977)

Looking for similar products? Visit Product Comparison Guide

General description

GRHL2 (grainyhead-like 2,Drosophila) is a transcription factor belonging to the grainyhead family. The family comprises of GRHL1, GRHL2 and GRHL3.
GRHL2 is located at 8q22.3 on the human chromosome.

Immunogen

Grainyhead-like protein 2 homolog recombinant protein epitope signature tag (PrEST)

Application

All Prestige Antibodies Powered by Atlas Antibodies are developed and validated by the Human Protein Atlas (HPA) project and as a result, are supported by the most extensive characterization in the industry.

The Human Protein Atlas project can be subdivided into three efforts: Human Tissue Atlas, Cancer Atlas, and Human Cell Atlas. The antibodies that have been generated in support of the Tissue and Cancer Atlas projects have been tested by immunohistochemistry against hundreds of normal and disease tissues and through the recent efforts of the Human Cell Atlas project, many have been characterized by immunofluorescence to map the human proteome not only at the tissue level but now at the subcellular level. These images and the collection of this vast data set can be viewed on the Human Protein Atlas (HPA) site by clicking on the Image Gallery link. We also provide Prestige Antibodies® protocols and other useful information.
Anti-GRHL2 antibody has been used in:
  • immunohistochemistry
  • western blotting
  • immunofluorescence

Anti-GRHL2 antibody produced in rabbit, a Prestige Antibody, is developed and validated by the Human Protein Atlas (HPA) project . Each antibody is tested by immunohistochemistry against hundreds of normal and disease tissues. These images can be viewed on the Human Protein Atlas (HPA) site by clicking on the Image Gallery link. The antibodies are also tested using immunofluorescence and western blotting. To view these protocols and other useful information about Prestige Antibodies and the HPA, visit sigma.com/prestige.

Biochem/physiol Actions

GRHL2 (grainyhead-like 2, Drosophila) is essentially involved in the several cellular processes, such as lung epithelial cell identity, migration, differentiation, remodeling, repair and cell-cell interactions. It plays an important role in the regulation of morphogenesis and differentiation of epithelial cells. It acts as a prognostic marker in various cancers including hepatocellular carcinoma, breast cancer, gastric cancer and colorectal carcinoma.
Mutation of the GRHL2 gene is associated with an autosomal dominant hearing loss. It exhibits tumor suppression activity.

Features and Benefits

Prestige Antibodies® are highly characterized and extensively validated antibodies with the added benefit of all available characterization data for each target being accessible via the Human Protein Atlas portal linked just below the product name at the top of this page. The uniqueness and low cross-reactivity of the Prestige Antibodies® to other proteins are due to a thorough selection of antigen regions, affinity purification, and stringent selection. Prestige antigen controls are available for every corresponding Prestige Antibody and can be found in the linkage section.

Every Prestige Antibody is tested in the following ways:
  • IHC tissue array of 44 normal human tissues and 20 of the most common cancer type tissues.
  • Protein array of 364 human recombinant protein fragments.

Physical form

Solution in phosphate-buffered saline, pH 7.2, containing 40% glycerol and 0.02% sodium azide

Other Notes

Corresponding Antigen APREST86696

Legal Information

Prestige Antibodies is a registered trademark of Merck KGaA, Darmstadt, Germany

Disclaimer

Unless otherwise stated in our catalog or other company documentation accompanying the product(s), our products are intended for research use only and are not to be used for any other purpose, which includes but is not limited to, unauthorized commercial uses, in vitro diagnostic uses, ex vivo or in vivo therapeutic uses or any type of consumption or application to humans or animals.

Not finding the right product?  

Try our Product Selector Tool.

Storage Class

10 - Combustible liquids

wgk

WGK 1

ppe

Eyeshields, Gloves, multi-purpose combination respirator cartridge (US)


Choose from one of the most recent versions:

Certificates of Analysis (COA)

Lot/Batch Number

Don't see the Right Version?

If you require a particular version, you can look up a specific certificate by the Lot or Batch number.

Already Own This Product?

Find documentation for the products that you have recently purchased in the Document Library.

Visit the Document Library

Diverse expression patterns of the EMT suppressor grainyhead-like 2 (GRHL 2) in normal and tumour tissues
Riethdorf S, et al.
International Journal of Cancer. Journal International Du Cancer, 138(4), 949-963 (2016)
Benjamin Cieply et al.
Cancer research, 73(20), 6299-6309 (2013-08-15)
Epithelial-mesenchymal transition (EMT) in carcinoma cells enhances malignant progression by promoting invasion and survival. EMT is induced by microenvironmental factors, including TGF-β and Wnt agonists, and by the E-box-binding transcription factors Twist, Snail, and ZEB. Grainyhead-like-2 (GRHL2), a member of
Petra Liskova et al.
American journal of human genetics, 102(3), 447-459 (2018-03-03)
In a large family of Czech origin, we mapped a locus for an autosomal-dominant corneal endothelial dystrophy, posterior polymorphous corneal dystrophy 4 (PPCD4), to 8q22.3-q24.12. Whole-genome sequencing identified a unique variant (c.20+544G>T) in this locus, within an intronic regulatory region
David Chi et al.
Proceedings of the National Academy of Sciences of the United States of America, 116(23), 11437-11443 (2019-05-22)
Limited knowledge of the changes in estrogen receptor (ER) signaling during the transformation of the normal mammary gland to breast cancer hinders the development of effective prevention and treatment strategies. Differences in estrogen signaling between normal human primary breast epithelial
Hitoe Nishino et al.
Cancer medicine, 6(11), 2686-2696 (2017-09-30)
The epithelial-mesenchymal transition (EMT) and mesenchymal-epithelial transition (MET) contribute to cancer metastasis of pancreatic ductal adenocarcinoma (PDAC). We explored the role of grainyhead-like 2 (GRHL2), a suppressor of EMT, in the progression of PDAC. Expressions of GRHL2 were assessed using

Related Content

Prestige Antibodies Immunofluorescence Procedure

Our team of scientists has experience in all areas of research including Life Science, Material Science, Chemical Synthesis, Chromatography, Analytical and many others.

Contact Technical Service