Saltar al contenido
Merck

ABE600

Sigma-Aldrich

Anticuerpo anti-SATB2

from rabbit, purified by affinity chromatography

Sinónimos:

DNA-binding protein SATB2, Special AT-rich sequence-binding protein 2

Iniciar sesiónpara Ver la Fijación de precios por contrato y de la organización

Seleccione un Tamaño



About This Item

UNSPSC Code:
12352203
eCl@ss:
32160702
NACRES:
NA.41

biological source

rabbit

Quality Level

conjugate

unconjugated

antibody form

affinity isolated antibody

antibody product type

primary antibodies

clone

polyclonal

purified by

affinity chromatography

species reactivity

human, mouse

technique(s)

immunofluorescence: suitable
immunohistochemistry: suitable (paraffin)
western blot: suitable

UniProt accession no.

shipped in

wet ice

target post-translational modification

unmodified

Gene Information

human ... SATB2(23314)

General description

La proteína especial de unión a secuencias ricas en AT 2 (SATB2) contiene 2 dominios CUT de unión al ADN y un dominio de unión al ADN homeobox perteneciente a la familia homeobox CUT. La SATB2 se une al ADN en regiones asociadas a la matriz o el armazón nuclear. La SATB2 se expresa en gran medida en el cerebro adulto, moderadamente en el cerebro fetal y débilmente en el hígado, el riñón y la médula espinal adultos. Mutaciones en SATB2 se han asociado con la fisura palatina.
~90 kDa observados

Immunogen

Epítopo: N-terminal
Péptido lineal conjugado con KLH que corresponde a la secuencia N-terminal de la SATB2 humana.

Application

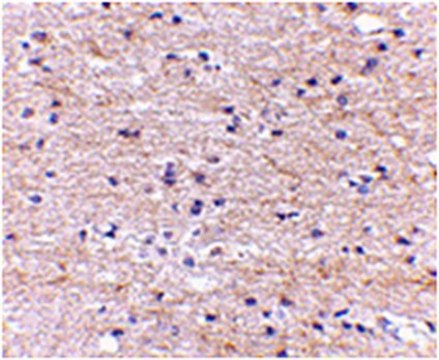
Análisis mediante inmunohistoquímica: 5 µg/ml de un lote representativo detectó la SATB2 en tejido cerebral humano.

Análisis mediante inmunofluorescencia: 20 μg/ml de un lote representativo detectó la SATB2 en células cerebrales humanas.
Categoría de investigación
Epigenética y función nuclear
Detección de la proteína especial de unión a secuencias ricas en AT 2 utilizando este anticuerpo policlonal de conejo, anticuerpo anti-SATB2 validado para utilizar en inmunotransferencia Western, IHC (parafina) e inmunofluorescencia.
Subcategoría de investigación
Factores de transcripción

Biochem/physiol Actions

Este anticuerpo reconoce el N-terminal de la SATB2.

Physical form

Policlonal de conejo purificado en disolución tampón que contiene PBS con acida sódica de hasta el 0,1 %
Purificación por afinidad por el antígeno

Preparation Note

Estable durante 1 año a 2-8°C desde la fecha de recepción.

Analysis Note

Control
Lisado de tejido cerebral de ratón
Evaluada mediante inmunotransferencia western en lisado de tejido cerebro de ratón.

Análisis mediante inmunotransferencia western: 4 µg/ml de este anticuerpo detectó la SATB2 en 15 µg /ml de lisado de tejido cerebral de ratón.

Other Notes

Concentración: Para conocer la concentración específica del lote, consulte el certificado de análisis.

Disclaimer

Salvo que se indique lo contrario en nuestro catálogo o en otra documentación de la empresa que acompañe al producto, nuestros productos están indicados sólo para investigación y no deben utilizarse para ningún otro propósito, como, entre otros, usos comerciales no autorizados, diagnóstico in vitro, usos terapéuticos ex vivo o in vivo o cualquier tipo de consumo o aplicación en humanos o animales.

¿No encuentra el producto adecuado?  

Pruebe nuestro Herramienta de selección de productos.

Clase de almacenamiento

12 - Non Combustible Liquids

wgk_germany

WGK 2

flash_point_f

Not applicable

flash_point_c

Not applicable


Certificados de análisis (COA)

Busque Certificados de análisis (COA) introduciendo el número de lote del producto. Los números de lote se encuentran en la etiqueta del producto después de las palabras «Lot» o «Batch»

¿Ya tiene este producto?

Encuentre la documentación para los productos que ha comprado recientemente en la Biblioteca de documentos.

Visite la Librería de documentos

Lei Wang et al.
Nature neuroscience, 19(7), 888-896 (2016-05-24)
The unique mental abilities of humans are rooted in the immensely expanded and folded neocortex, which reflects the expansion of neural progenitors, especially basal progenitors including basal radial glia (bRGs) and intermediate progenitor cells (IPCs). We found that constitutively active
Lei Wang et al.
Proceedings of the National Academy of Sciences of the United States of America, 119(38), e2206147119-e2206147119 (2022-09-13)
The neocortex, the center for higher brain function, first emerged in mammals and has become massively expanded and folded in humans, constituting almost half the volume of the human brain. Primary microcephaly, a developmental disorder in which the brain is

Número de artículo de comercio global

SKUGTIN
ABE60004053252905285

Nuestro equipo de científicos tiene experiencia en todas las áreas de investigación: Ciencias de la vida, Ciencia de los materiales, Síntesis química, Cromatografía, Analítica y muchas otras.

Póngase en contacto con el Servicio técnico