MAB10209-I-100UL Sigma-AldrichAnti-HSV-2 Nucleocapsid p40 Antibody, clone 3E1
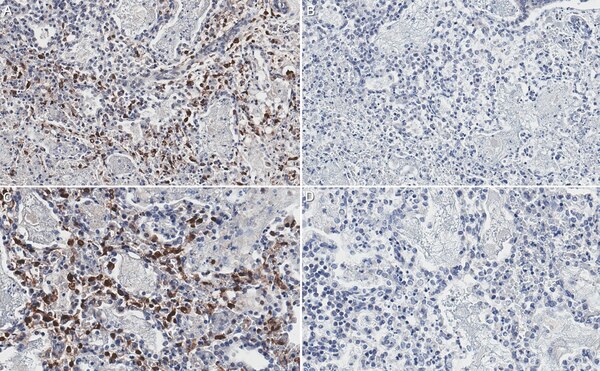
Anti-HSV-2 Nucleocapsid p40, clone 3E1, Cat. No. MAB10209-I, is a mouse monoclonal antibody that detects HSV-2 Nucleocapsid p40 and is tested for use in Immunohistochemistry (Paraffin).
More>> Anti-HSV-2 Nucleocapsid p40, clone 3E1, Cat. No. MAB10209-I, is a mouse monoclonal antibody that detects HSV-2 Nucleocapsid p40 and is tested for use in Immunohistochemistry (Paraffin). Less<<Recommended Products
Overview
| Replacement Information |
|---|
| References |
|---|
| Product Information | |
|---|---|
| Format | Purified |
| Presentation | Purified mouse monoclonal antibody IgG1 in buffer containing 0.1 M Tris-Glycine (pH 7.4), 150 mM NaCl with 0.05% sodium azide. |
| Quality Level | MQ200 |
| Physicochemical Information |
|---|
| Dimensions |
|---|
| Materials Information |
|---|
| Toxicological Information |
|---|
| Safety Information according to GHS |
|---|
| Safety Information |
|---|
| Storage and Shipping Information | |
|---|---|
| Storage Conditions | Recommend storage at +2°C to +8°C. For long term storage antibodies can be kept at -20°C. Avoid repeated freeze-thaws. |
| Packaging Information | |
|---|---|
| Material Size | 100 µL |
| Transport Information |
|---|
| Supplemental Information |
|---|
| Specifications |
|---|
| Global Trade Item Number | |
|---|---|
| Catalogue Number | GTIN |
| MAB10209-I-100UL | 04065267027760 |
Documentation
Anti-HSV-2 Nucleocapsid p40 Antibody, clone 3E1 SDS
| Title |
|---|
Anti-HSV-2 Nucleocapsid p40 Antibody, clone 3E1 Certificates of Analysis
| Title | Lot Number |
|---|---|
| Anti-HSV-2 Nucleocapsid p40, clone 3E1 - Q3758873 | Q3758873 |



