Wenn Sie das Fenster schließen, wird Ihre Konfiguration nicht gespeichert, es sei denn, Sie haben Ihren Artikel in die Bestellung aufgenommen oder zu Ihren Favoriten hinzugefügt.
Klicken Sie auf OK, um das MILLIPLEX® MAP-Tool zu schließen oder auf Abbrechen, um zu Ihrer Auswahl zurückzukehren.
Wählen Sie konfigurierbare Panels & Premixed-Kits - ODER - Kits für die zelluläre Signaltransduktion & MAPmates™
Konfigurieren Sie Ihre MILLIPLEX® MAP-Kits und lassen sich den Preis anzeigen.
Konfigurierbare Panels & Premixed-Kits
Unser breites Angebot enthält Multiplex-Panels, für die Sie die Analyten auswählen können, die am besten für Ihre Anwendung geeignet sind. Unter einem separaten Register können Sie das Premixed-Cytokin-Format oder ein Singleplex-Kit wählen.
Kits für die zelluläre Signaltransduktion & MAPmates™
Wählen Sie gebrauchsfertige Kits zur Erforschung gesamter Signalwege oder Prozesse. Oder konfigurieren Sie Ihre eigenen Kits mit Singleplex MAPmates™.
Die folgenden MAPmates™ sollten nicht zusammen analysiert werden: -MAPmates™, die einen unterschiedlichen Assaypuffer erfordern. -Phosphospezifische und MAPmate™ Gesamtkombinationen wie Gesamt-GSK3β und Gesamt-GSK3β (Ser 9). -PanTyr und locusspezifische MAPmates™, z.B. Phospho-EGF-Rezeptor und Phospho-STAT1 (Tyr701). -Mehr als 1 Phospho-MAPmate™ für ein einziges Target (Akt, STAT3). -GAPDH und β-Tubulin können nicht mit Kits oder MAPmates™, die panTyr enthalten, analysiert werden.
.
Bestellnummer
Bestellinformationen
St./Pkg.
Liste
Dieser Artikel wurde zu Ihren Favoriten hinzugefügt.
Wählen Sie bitte Spezies, Panelart, Kit oder Probenart
Um Ihr MILLIPLEX® MAP-Kit zu konfigurieren, wählen Sie zunächst eine Spezies, eine Panelart und/oder ein Kit.
Custom Premix Selecting "Custom Premix" option means that all of the beads you have chosen will be premixed in manufacturing before the kit is sent to you.
Catalogue Number
Ordering Description
Qty/Pack
List
Dieser Artikel wurde zu Ihren Favoriten hinzugefügt.
Spezies
Panelart
Gewähltes Kit
Menge
Bestellnummer
Bestellinformationen
St./Pkg.
Listenpreis
96-Well Plate
Menge
Bestellnummer
Bestellinformationen
St./Pkg.
Listenpreis
Weitere Reagenzien hinzufügen (MAPmates erfordern die Verwendung eines Puffer- und Detektionskits)
Menge
Bestellnummer
Bestellinformationen
St./Pkg.
Listenpreis
48-602MAG
Buffer Detection Kit for Magnetic Beads
1 Kit
Platzsparende Option Kunden, die mehrere Kits kaufen, können ihre Multiplex-Assaykomponenten in Kunststoffbeuteln anstelle von Packungen erhalten, um eine kompaktere Lagerung zu ermöglichen.
Dieser Artikel wurde zu Ihren Favoriten hinzugefügt.
Das Produkt wurde in Ihre Bestellung aufgenommen
Sie können nun ein weiteres Kit konfigurieren, ein Premixed-Kit wählen, zur Kasse gehen oder das Bestell-Tool schließen.
Anti-Fibronectin, cell binding domain, clone P1H11, Cat. No. MAB1926-I is a mouse monoclonal antibody that detects human fibronectin and has been tested for use in Immunocytochemistry, Immunohistochemistry (Paraffin), and Western Blotting.
More>>Anti-Fibronectin, cell binding domain, clone P1H11, Cat. No. MAB1926-I is a mouse monoclonal antibody that detects human fibronectin and has been tested for use in Immunocytochemistry, Immunohistochemistry (Paraffin), and Western Blotting. Less<<
Fibronectin (UniProt: P02751; also known as FN, Cold-insoluble globulin, CIG) is encoded by the FN1 (also known as FN) gene (Gene ID: 2335) in human. Fibronectin is are involved various biological activities, including cell adhesion, cell motility, opsonization, wound healing, and maintenance of cell shape. It is essential for osteoblast mineralization and participates in the regulation of type I collagen deposition by osteoblasts. Fibronectin is usually present as homodimer of ~250 kDa subunits where subunits are connected by two disulfide bonds at the C-terminal region. Each monomer contains three repeating units, which are designated as type I, II, and III repeats containing about 40, 60, and 90 amino acids, respectively. Plasma fibronectin (soluble dimeric form) is secreted by hepatocytes and the cellular fibronectin (dimeric or cross-linked multimeric forms) is produced by fibroblasts, epithelial and other cell types. Cellular fibronectin is deposited as fibrils in the extracellular matrix. Fibronectin is recognized by integrins alpha5beta1 and alphaVbeta3. The primary sequence motif of fibronectin for integrin binding is a tripeptide, Arg-Gly-Asp (RGD). Mutations in FN gene are known to cause glomerulopathy that is characterized by proteinuria, microscopic hematuria, and hypertension, which can lead to end-stage renal failure.
References
Product Information
Format
Purified
HS Code
3002 15 90
Presentation
Purified mouse monoclonal antibody IgG1 in buffer containing 0.1 M Tris-Glycine (pH 7.4), 150 mM NaCl with 0.05% sodium azide.
Anti-Fibronectin, cell binding domain, clone P1H11, Cat. No. MAB1926-I is a mouse monoclonal antibody that detects human fibronectin and has been tested for use in Immunocytochemistry, Immunohistochemistry (Paraffin), and Western Blotting.
Key Applications
Western Blotting
Immunohistochemistry (Paraffin)
Immunocytochemistry
Application Notes
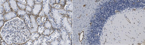
Immunohistochemistry Analysis: A 1:50 dilution from a representative lot detected Fibronectin in human kidney and human cerebellum tissues.
Western Blotting Analysis: A representative lot detected Fibronectin in Western Blotting applications (Zhang, H., et. al. (2010). Am J Physiol Renal Physiol. 299(1):F91-8).
Immunocytochemistry Analysis: A representative lot detected Fibronectin in Immunocytochemistry applications (Mardilovich, A., et. al. (2006). Langmuir. 22(7):3259-64).
Immunocytochemistry Analysis: A representative lot detected Fibronectin in Immunocytochemistry applications (Hofanson, D.M., et. al. (2010). Biomaterials. 31(26):6730-7).
Immunocytochemistry Analysis: A representative lot detected Fibronectin in Immunocytochemistry applications (Waterman, R.S., et. al. (2010). PLoS One. 5(4):e10088).
Immunohistochemistry Analysis: A representative lot detected Fibronectin in Immunohistochemistry applications (Carlos, C.P., et. al. (2014). PLoS One. 9(7):e103660).
Western Blotting Analysis: A representative lot detected Fibronectin in Western Blotting applications (Zhang, H., et. al. (2008). Am J Physiol Renal Physiol. 295(4):F1071-81).
~270 kDa observed; 262.62 kDa calculated. Uncharacterized bands may be observed in some lysate(s).
Physicochemical Information
Dimensions
Materials Information
Toxicological Information
Safety Information according to GHS
Safety Information
Product Usage Statements
Quality Assurance
Evaluated by Western Blotting in human thymus tissue lysate.
Western Blotting Analysis: 1 µg/mL of this antibody detected Fibronectin in 10 µg of human thymus tissue lysate.
Usage Statement
Unless otherwise stated in our catalog or other company documentation accompanying the product(s), our products are intended for research use only and are not to be used for any other purpose, which includes but is not limited to, unauthorized commercial uses, in vitro diagnostic uses, ex vivo or in vivo therapeutic uses or any type of consumption or application to humans or animals.