Wenn Sie das Fenster schließen, wird Ihre Konfiguration nicht gespeichert, es sei denn, Sie haben Ihren Artikel in die Bestellung aufgenommen oder zu Ihren Favoriten hinzugefügt.
Klicken Sie auf OK, um das MILLIPLEX® MAP-Tool zu schließen oder auf Abbrechen, um zu Ihrer Auswahl zurückzukehren.
Wählen Sie konfigurierbare Panels & Premixed-Kits - ODER - Kits für die zelluläre Signaltransduktion & MAPmates™
Konfigurieren Sie Ihre MILLIPLEX® MAP-Kits und lassen sich den Preis anzeigen.
Konfigurierbare Panels & Premixed-Kits
Unser breites Angebot enthält Multiplex-Panels, für die Sie die Analyten auswählen können, die am besten für Ihre Anwendung geeignet sind. Unter einem separaten Register können Sie das Premixed-Cytokin-Format oder ein Singleplex-Kit wählen.
Kits für die zelluläre Signaltransduktion & MAPmates™
Wählen Sie gebrauchsfertige Kits zur Erforschung gesamter Signalwege oder Prozesse. Oder konfigurieren Sie Ihre eigenen Kits mit Singleplex MAPmates™.
Die folgenden MAPmates™ sollten nicht zusammen analysiert werden: -MAPmates™, die einen unterschiedlichen Assaypuffer erfordern. -Phosphospezifische und MAPmate™ Gesamtkombinationen wie Gesamt-GSK3β und Gesamt-GSK3β (Ser 9). -PanTyr und locusspezifische MAPmates™, z.B. Phospho-EGF-Rezeptor und Phospho-STAT1 (Tyr701). -Mehr als 1 Phospho-MAPmate™ für ein einziges Target (Akt, STAT3). -GAPDH und β-Tubulin können nicht mit Kits oder MAPmates™, die panTyr enthalten, analysiert werden.
.
Bestellnummer
Bestellinformationen
St./Pkg.
Liste
Dieser Artikel wurde zu Ihren Favoriten hinzugefügt.
Wählen Sie bitte Spezies, Panelart, Kit oder Probenart
Um Ihr MILLIPLEX® MAP-Kit zu konfigurieren, wählen Sie zunächst eine Spezies, eine Panelart und/oder ein Kit.
Custom Premix Selecting "Custom Premix" option means that all of the beads you have chosen will be premixed in manufacturing before the kit is sent to you.
Catalogue Number
Ordering Description
Qty/Pack
List
Dieser Artikel wurde zu Ihren Favoriten hinzugefügt.
Spezies
Panelart
Gewähltes Kit
Menge
Bestellnummer
Bestellinformationen
St./Pkg.
Listenpreis
96-Well Plate
Menge
Bestellnummer
Bestellinformationen
St./Pkg.
Listenpreis
Weitere Reagenzien hinzufügen (MAPmates erfordern die Verwendung eines Puffer- und Detektionskits)
Menge
Bestellnummer
Bestellinformationen
St./Pkg.
Listenpreis
48-602MAG
Buffer Detection Kit for Magnetic Beads
1 Kit
Platzsparende Option Kunden, die mehrere Kits kaufen, können ihre Multiplex-Assaykomponenten in Kunststoffbeuteln anstelle von Packungen erhalten, um eine kompaktere Lagerung zu ermöglichen.
Dieser Artikel wurde zu Ihren Favoriten hinzugefügt.
Das Produkt wurde in Ihre Bestellung aufgenommen
Sie können nun ein weiteres Kit konfigurieren, ein Premixed-Kit wählen, zur Kasse gehen oder das Bestell-Tool schließen.
This Anti-GST Omega 1 (GSTO1), clone 1H10.1 Antibody is validated for use in Western Blotting and Immunohistochemistry (Paraffin) for the detection of GST Omega 1 (GSTO1).
More>>This Anti-GST Omega 1 (GSTO1), clone 1H10.1 Antibody is validated for use in Western Blotting and Immunohistochemistry (Paraffin) for the detection of GST Omega 1 (GSTO1). Less<<
SDB (Sicherheitsdatenblätter), Analysenzertifikate und Qualitätszertifikate, Dossiers, Broschüren und andere verfügbare Dokumente.
GST Omega 1 (GSTO1), also known as Glutathione S-transferase omega-1,GSTO-1, Glutathione S-transferase omega 1-1, GSTO 1-1, Glutathione-dependent dehydroascorbate reductase, Monomethylarsonic acid reductase, MMA(V), or S-(Phenacyl)glutathione reductase, SPG-R, and encoded by the gene GSTO1/GSTTLP28, a ubiquitously expressed cytoplasmic enzyme that is highest in the liver and lowest in the brain It belongs to the GST superfamily of anti-oxidant reducing enzymes and is in the omega class. The omega class of glutathione transferases (GSTs) is a relatively ancient member of the cytosolic GST superfamily, and the omega-class GSTs are found in plants, animals, and some microbial species. The omega-class, unlike other GSTs, has a cysteine residue in their active site. Consequently, the omega-class GSTs catalyze a range of thiol transferase and reduction reactions that are not catalyzed by members of the other classes. GST Omega 1 (GSTO1) is involved in L-ascorbic acid metabolism, detoxification of arsenic substances, glutathione biosynthetic processes, regulation of ryanodine-sensitive calcium release channels, regulation of skeletal muscle contraction and the release of sequestered calcium in muscle, and xenobiotic catabolism. Interestingly genetic linkage studies have discovered associations between GSTO1 gene mutations and the age at onset of Alzheimer's disease, Parkinson's disease, and amyotrophic lateral sclerosis, perhaps stemming from the capacity of omega-class GSTs to mitigate oxidative stress or their role in activating the proinflammatory cytokine, interleukin-1β.
References
Product Information
Format
Purified
Presentation
Purified mouse monoclonal IgG1κ in buffer containing 0.1 M Tris-Glycine (pH 7.4), 150 mM NaCl with 0.05% sodium azide.
This Anti-GST Omega 1 (GSTO1), clone 1H10.1 Antibody is validated for use in Western Blotting and Immunohistochemistry (Paraffin) for the detection of GST Omega 1 (GSTO1).
Key Applications
Western Blotting
Immunohistochemistry (Paraffin)
Application Notes
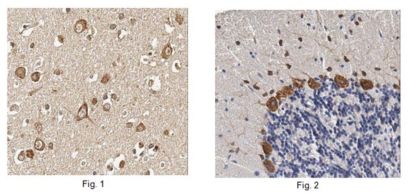
Immunohistochemistry Analysis: A 1:50-500 dilution from a representative lot detected GST Omega 1 (GSTO1) in human cerebral cortex and rat cerebellum tissue.
Biological Information
Immunogen
GST-tagged recombinant protein corresponding to human GST Omega 1 (GSTO1).
Evaluated by Western Blotting in human heart tissue lysate.
Western Blotting Analysis: 0.5 µg/mL of this antibody detected GST Omega 1 (GSTO1) in 200 µg of human heart tissue lysate.
Usage Statement
Unless otherwise stated in our catalog or other company documentation accompanying the product(s), our products are intended for research use only and are not to be used for any other purpose, which includes but is not limited to, unauthorized commercial uses, in vitro diagnostic uses, ex vivo or in vivo therapeutic uses or any type of consumption or application to humans or animals.