Accéder au contenu
Merck

HPA012306

Anti-POSTN antibody produced in rabbit

Prestige Antibodies® Powered by Atlas Antibodies, affinity isolated antibody, buffered aqueous glycerol solution

Synonyme(s) :

Anti-OSF-2, Anti-Osteoblast-specific factor 2, Anti-PN, Anti-Periostin precursor

Se connecter pour consulter les tarifs organisationnels et contractuels.

Sélectionner une taille de conditionnement


A propos de cet article

UNSPSC Code:
12352203
NACRES:
NA.41
Human Protein Atlas Number:
Service technique
Besoin d'aide ? Notre équipe de scientifiques expérimentés est là pour vous.
Laissez-nous vous aider
Service technique
Besoin d'aide ? Notre équipe de scientifiques expérimentés est là pour vous.
Laissez-nous vous aider

Nom du produit

Anti-POSTN antibody produced in rabbit, Prestige Antibodies® Powered by Atlas Antibodies, affinity isolated antibody, buffered aqueous glycerol solution

biological source

rabbit

conjugate

unconjugated

antibody form

affinity isolated antibody

antibody product type

primary antibodies

clone

polyclonal

product line

Prestige Antibodies® Powered by Atlas Antibodies

form

buffered aqueous glycerol solution

species reactivity

human

enhanced validation

orthogonal RNAseq
Learn more about Antibody Enhanced Validation

technique(s)

immunoblotting: 0.04-0.4 μg/mL
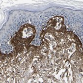
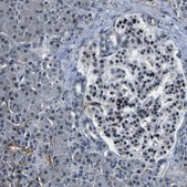
immunohistochemistry: 1:50-1:200

immunogen sequence

GLFINHYPNGVVTVNCARIIHGNQIATNGVVHVIDRVLTQIGTSIQDFIEAEDDLSSFRAAAITSDILEALGRDGHFTLFAPTNEAFEKLPRGVLERIMGDKVASEALMKYHILNTLQCSESIMGGAVFETLEG

UniProt accession no.

shipped in

wet ice

storage temp.

−20°C

target post-translational modification

unmodified

Quality Level

Gene Information

human ... POSTN(10631)

Catégories apparentées

Application

Anti-POSTN antibody produced in rabbit, a Prestige Antibody, is developed and validated by the Human Protein Atlas (HPA) project . Each antibody is tested by immunohistochemistry against hundreds of normal and disease tissues. These images can be viewed on the Human Protein Atlas (HPA) site by clicking on the Image Gallery link. The antibodies are also tested using immunofluorescence and western blotting. To view these protocols and other useful information about Prestige Antibodies and the HPA, visit sigma.com/prestige.

Biochem/physiol Actions

POSTN (Periostin, osteoblast specific factor) is an oncofetal protein consisting of four internal repeat domains. It is a vitamin K dependent protein expressed in mesenchymal stromal cells. Specifically, it is highly expressed in the normal fetal tissues including aorta, stomach, lower gastrointestinal tract, placenta, uterus, and breast except normal ovarian tissues. It has been first identified in the osteoblast cells with heparin binding ability. In ovarian epithelial cells, it drives the cellular adhesion of α(V)β(3) integrin, but not β(1) integrins, as a ligand for promoting the cell motility. It has been suggested that carboxylated POSTN, produced by bone-derived cells of mesenchymal lineage may play an important role in extracellular matrix mineralization.

Disclaimer

Unless otherwise stated in our catalog or other company documentation accompanying the product(s), our products are intended for research use only and are not to be used for any other purpose, which includes but is not limited to, unauthorized commercial uses, in vitro diagnostic uses, ex vivo or in vivo therapeutic uses or any type of consumption or application to humans or animals.

Features and Benefits

Prestige Antibodies® are highly characterized and extensively validated antibodies with the added benefit of all available characterization data for each target being accessible via the Human Protein Atlas portal linked just below the product name at the top of this page. The uniqueness and low cross-reactivity of the Prestige Antibodies® to other proteins are due to a thorough selection of antigen regions, affinity purification, and stringent selection. Prestige antigen controls are available for every corresponding Prestige Antibody and can be found in the linkage section.

Every Prestige Antibody is tested in the following ways:
  • IHC tissue array of 44 normal human tissues and 20 of the most common cancer type tissues.
  • Protein array of 364 human recombinant protein fragments.

Immunogen

Periostin precursor recombinant protein epitope signature tag (PrEST)

Other Notes

Corresponding Antigen APREST71337

Physical form

Solution in phosphate-buffered saline, pH 7.2, containing 40% glycerol and 0.02% sodium azide

Legal Information

Prestige Antibodies is a registered trademark of Merck KGaA, Darmstadt, Germany

Vous ne trouvez pas le bon produit ?  

Essayez notre Outil de sélection de produits.

Classe de stockage

10 - Combustible liquids

wgk

WGK 1

flash_point_f

Not applicable

flash_point_c

Not applicable

ppe

Eyeshields, Gloves, multi-purpose combination respirator cartridge (US)


Faites votre choix parmi les versions les plus récentes :

Certificats d'analyse (COA)

Lot/Batch Number

Vous ne trouvez pas la bonne version ?

Si vous avez besoin d'une version particulière, vous pouvez rechercher un certificat spécifique par le numéro de lot.

Déjà en possession de ce produit ?

Retrouvez la documentation relative aux produits que vous avez récemment achetés dans la Bibliothèque de documents.

Consulter la Bibliothèque de documents

Hyeon Jeong Oh et al.
Journal of pathology and translational medicine, 51(3), 306-313 (2017-04-14)
Tumor microenvironment has recently drawn attention in that it is related with tumor prognosis. Cancer-associated fibroblast also plays a critical role in cancer invasiveness and progression in colorectal cancers. Periostin (POSTN), originally identified to be expressed in osteoblasts and osteoblast-derived
Andrii Puzyrenko et al.
Journal of the American Heart Association, 12(4), e027990-e027990 (2023-02-16)
Background Cardiac fibrosis complicates SARS-CoV-2 infections and has been linked to arrhythmic complications in survivors. Accordingly, we sought evidence of increased HSP47 (heat shock protein 47), a stress-inducible chaperone protein that regulates biosynthesis and secretion of procollagen in heart tissue
Chao Chen et al.
Heliyon, 10(7), e28356-e28356 (2024-04-01)
Previous studies found that FAT1 was recurrently mutated and aberrantly expressed in multiple cancers, and the loss function of FAT1 promoted the formation of cancer-initiating cells in several cancers. However, in some types of cancer, FAT1 upregulation could lead to
Teming Zhang et al.
Cancer management and research, 11, 25-36 (2018-12-28)
Periostin is a protein from the Fascilin family. It is commonly present in normal tissues and is responsible for cell adhesion. Evidence has emerged showing that changes in periostin expression play an important role in tumor initiation, development, and progression.
Chao Chen et al.
Clinical and translational medicine, 13(12), e1515-e1515 (2023-12-20)
Cancer-associated fibroblasts (CAFs) are potential targets for cancer therapy. Due to the heterogeneity of CAFs, the influence of CAF subpopulations on the progression of lung cancer is still unclear, which impedes the translational advances in targeting CAFs. We performed single-cell

Notre équipe de scientifiques dispose d'une expérience dans tous les secteurs de la recherche, notamment en sciences de la vie, science des matériaux, synthèse chimique, chromatographie, analyse et dans de nombreux autres domaines..

Contacter notre Service technique