SCC503 Sigma-Aldrich3dGRO™ Human CRC Organoids (ISO49)
Recommended Products
Overview
| Replacement Information |
|---|
| References |
|---|
| Product Information | |
|---|---|
| Components |
|
| Applications | |
|---|---|
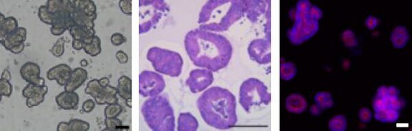
| Application | Ready-to-Assay human colorectal cancer organoids for 3D cell culture applications. |
| Key Applications |
|
| Biological Information | |
|---|---|
| Host | Human |
| Cell Line Type |
|
| Physicochemical Information |
|---|
| Dimensions |
|---|
| Materials Information |
|---|
| Toxicological Information |
|---|
| Safety Information according to GHS |
|---|
| Safety Information |
|---|
| Storage and Shipping Information | |
|---|---|
| Storage Conditions | Store 3dGRO™ Human CRC Organoids at -80°C. For long term storage the cells should be stored in liquid nitrogen. |
| Packaging Information | |
|---|---|
| Material Size | ≥ 100,000 organoids/vial |
| Transport Information |
|---|
| Supplemental Information |
|---|
| Specifications |
|---|
| Global Trade Item Number | |
|---|---|
| Catalogue Number | GTIN |
| SCC503 | 04065266299083 |
Documentation
3dGRO™ Human CRC Organoids (ISO49) SDS
| Title |
|---|
Data Sheet
| Title |
|---|
| 3dGRO Human CRC Organoids (ISO49) |



