Millipore Sigma Vibrant Logo

MABN1622 Anti-DNM1L Antibody, clone 9D8.1

MABN1622
100 μg  
Retrieving price...
Price could not be retrieved
Minimum Quantity is a multiple of
Maximum Quantity is
Upon Order Completion More Information
You Saved ()
 
Request Pricing
Limited Availability
Limited Availability
In Stock 
Discontinued
Limited Quantities Available
Availability to be confirmed
    Remaining : Will advise
      Remaining : Will advise
      Will advise
      Contact Customer Service
      Contact Customer Service

      Special Offers

       

      Contact Customer Service

      Overview

      Replacement Information

      Key Spec Table

      Species ReactivityKey ApplicationsHostFormatAntibody Type
      H, RWB, IH(P)MPurifiedMonoclonal Antibody
      Description
      Catalogue NumberMABN1622
      DescriptionAnti-DNM1L Antibody, clone 9D8.1
      Alternate Names
      • Dynamin-1-like protein
      • HdynIV
      • Dnm1p/Vps1p-like protein
      • DVLP
      • Dymple
      • Dynamin family member proline-rich carboxyl-terminal domain less
      • Dynamin-like protein
      • Dynamin-like protein 4
      • Dynamin-like protein IV
      • Dynamin-related protein 1
      Background InformationDynamin-1-like protein (EC 3.6.5.5; UniProt O00429; also known as HdynIV, Dnm1p/Vps1p-like protein, DVLP, Dymple, Dynamin family member proline-rich carboxyl-terminal domain less, Dynamin-like protein, Dynamin-like protein 4, Dynamin-like protein IV, Dynamin-related protein 1) is encoded by the DNM1L (also known as DLP1, DRP1, EMPF) gene (Gene ID 10059) in human. DNM1L/DRP1 is a dynamin-like GTPase that mediates mitochondrial and peroxisomal division (fission). Upon recruitment from the cytosol to potential mitochondrial and peroxisomal fission sites, DNM1L/DRP1 oligomerizes at these foci, where GTP-dependent membrane scission occurs. DNM1L/DRP1 is essential for embryonic and neonatal development, as well as neuronal function in humans and mice.
      References
      Product Information
      FormatPurified
      PresentationPurified mouse monoclonal IgG2aκ antibody in buffer containing 0.1 M Tris-Glycine (pH 7.4), 150 mM NaCl with 0.05% sodium azide.
      Quality LevelMQ100
      Applications
      ApplicationAnti-DNM1L Antibody, clone 9D8.1 is an antibody against DNM1L for use in Western Blotting, Immunohistochemistry (Paraffin).
      Key Applications
      • Western Blotting
      • Immunohistochemistry (Paraffin)
      Application NotesWestern Blotting Analysis: 0.5 µg/mL from a representative lot detected DNM1L in 10 µg of HeLa cell lysate.
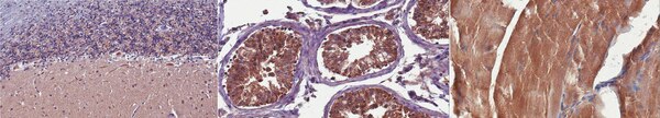
      Immunohistochemistry Analysis: A 1:250 dilution from a representative lot detected DNM1L in human cerebellum, human testis, and rat skeletal muscle tissue sections.
      Biological Information
      ImmunogenGST-tagged recombinant human DNM1L Dynamin-type G domain fragment.
      EpitopeDynamin-type G domain.
      Clone9D8.1
      ConcentrationPlease refer to lot specific datasheet.
      HostMouse
      SpecificityExpected to react with spliced isoform 1 (HdynIV-WT, DLP1F), isoform 2 (DLP1a), isoform 3 (HdynIV-37, DLP1b), isoform 4 (HdynIV-11, DLP1c), and isoform 5 (HdynIV-26), but not isoform 7 reported by UniProt (O00429). Reactivity toward isoforms 6 and 8 is highly likely, but has not been confirmed.
      IsotypeIgG2aκ
      Species Reactivity
      • Human
      • Rat
      Antibody TypeMonoclonal Antibody
      Entrez Gene Number
      Gene Symbol
      • DNM1L
      • DLP1
      • DRP1
      • EMPF
      Purification MethodProtein G Purified
      UniProt Number
      Molecular Weight~80 kDa observed. 81.88 kDa (isoform 1, HdynIV-WT, DLP1F), 79.44 kDa (isoform 2, DLP1a), 78.10 kDa (isoform 3, HdynIV-37, DLP1b), 80.54 kDa (isoform 4, HdynIV-11, DLP1c), 79.11 kDa (isoform 5, HdynIV-26), 83.40 kDa (isoform 6), and 82.06 kDa (isoform 8) calculated.
      Physicochemical Information
      Dimensions
      Materials Information
      Toxicological Information
      Safety Information according to GHS
      Safety Information
      Product Usage Statements
      Quality AssuranceEvaluated by Western Blotting in SHSY-5Y cell lysate.

      Western Blotting Analysis: 0.5 µg/mL of this antibody detected DNM1L in 10 µg of SHSY-5Y cell lysate.
      Usage Statement
      • Unless otherwise stated in our catalog or other company documentation accompanying the product(s), our products are intended for research use only and are not to be used for any other purpose, which includes but is not limited to, unauthorized commercial uses, in vitro diagnostic uses, ex vivo or in vivo therapeutic uses or any type of consumption or application to humans or animals.
      Storage and Shipping Information
      Storage ConditionsStable for 1 year at 2-8°C from date of receipt.
      Packaging Information
      Material Size100 μg
      Transport Information
      Supplemental Information
      Specifications
      Global Trade Item Number
      Catalogue Number GTIN
      MABN1622 04055977332230