Generation and characterization of an anti-GP73 monoclonal antibody for immunoblotting and sandwich ELISA. Zhang, A; Cao, B J Biomed Res
26
467-73
2012
Show Abstract
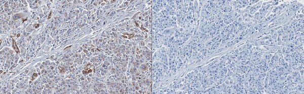
Recently, serum Golgi protein 73 (GP73) levels have been found to be elevated in patients with hepatocellular carcinoma (HCC), and GP73 has been proposed as a novel marker for HCC. However, GP73 levels in patients remain controversial due to the specificity of the anti-GP73 antibody-based enzyme linked immunosorbent assay (ELISA). Therefore, an anti-GP73 antibody with high specificity was highly demanded. In the present study, by hybridoma screening, we generated an anti-GP73 monoclonal antibody (mAb) designated as 6A2 using recombinant GP73 protein produced by prokaryotic expression. The specificity of 6A2 was evaluated by Western blotting, immunohistochemistry and immunoprecipitation. The results showed that 6A2 recognized GP73 in both native and denatured forms. In addition, we have developed a sandwich ELISA using 6A2 and GP73 polyclonal antibody generated in New Zealand white rabbits according to standard procedures, and measured the serum GP73 level of patients using this assay. Our results showed that serum GP73 levels of HCC patients were significantly higher than those of healthy controls (P = 0.0036). Furthermore, for the first time, GP73 serum level was found to be elevated in patients with breast cancer compared with healthy controls (P = 0.0172). | 23554786
 |