Millipore Sigma Vibrant Logo

ST1607 Anti-HERPUD1 Mouse mAb (2G7)

ST1607
  
Retrieving price...
Price could not be retrieved
Minimum Quantity is a multiple of
Maximum Quantity is
Upon Order Completion More Information
You Saved ()
 
Request Pricing
Limited Availability
Limited Availability
In Stock 
Discontinued
Limited Quantities Available
Availability to be confirmed
    Remaining : Will advise
      Remaining : Will advise
      Will advise
      Contact Customer Service
      Contact Customer Service

       

      Contact Customer Service

      Overview

      Replacement Information

      Key Spec Table

      Host
      M
      Description
      Overview

      This product has been discontinued.





      Recognizes the ~50 kDa HERPUD1 protein in HepG2 cells and human tonsil tissue.
      Catalogue NumberST1607
      Brand Family Calbiochem®
      SynonymsAnti-Homocysteine-Inducible Endoplasmic Reticulum Stress-Inducible Ubiquitin-Like Domain 1
      Application Data
      Detection of human HERPUD1 by immunoblotting. Sample: Whole cell lysate from HepG2 cells. Primary antibody: Anti-HERPUD1 Mouse mAb (2G7) (Cat. No. ST1607) (1-5 µg/ml). Detection: chemiluminescence.

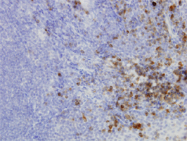
      Detection of human HERPUD1 by staining paraffin sections. Sample: Formalin-fixed, paraffin-embedded human tonsil. Primary antibody: Anti-HERPUD1 Mouse mAb (2G7) (Cat. No. ST1607) (3 µg/ml). Detection: colorimetric (DAB).
      References
      ReferencesLass, A., et al. 2008. Int. J. Biochem. Cell Biol. 40, 2865.
      Product Information
      FormLiquid
      FormulationIn PBS, pH 7.2.
      Negative control293T cells
      Positive controlHepG2 cells, Human tonsil tissue
      PreservativeNone
      Applications
      Key Applications Enzyme-Linked Immunosorbent Assay
      Immunoblotting (Western Blotting)
      Paraffin Sections
      Application NotesELISA (see comments)
      Immunoblotting (1-5 µg/ml)
      Paraffin Sections (3 µg/ml)
      Application CommentsFor ELISA, this antibody can be used as the capture antibody; recommended concentration is 10 ng/ml, 1 µg/well, 100 µl total volume. Variables associated with assay conditions will dictate the proper working dilution.
      Biological Information
      ImmunogenA recombinant polypeptide corresponding to amino acids 74-181 of human HERPUD1, expressed as a GST fusion protein
      Clone2G7
      HostMouse
      IsotypeIgG2a
      Physicochemical Information
      Dimensions
      Materials Information
      Toxicological Information
      Safety Information according to GHS
      Safety Information
      Product Usage Statements
      Storage and Shipping Information
      Ship Code Blue Ice Only
      Toxicity Regulatory Review
      Storage -20°C
      Avoid freeze/thaw Avoid freeze/thaw
      Do not freeze Ok to freeze
      Special InstructionsFollowing initial thaw, aliquot and freeze (-20°C).
      Packaging Information
      Transport Information
      Supplemental Information
      Specifications
      Global Trade Item Number
      Catalogue Number GTIN
      ST1607 0

      Documentation

      References

      Reference overview
      Lass, A., et al. 2008. Int. J. Biochem. Cell Biol. 40, 2865.
      Data Sheet

      Note that this data sheet is not lot-specific and is representative of the current specifications for this product. Please consult the vial label and the certificate of analysis for information on specific lots. Also note that shipping conditions may differ from storage conditions.

      Revision09-November-2010 RFH
      SynonymsAnti-Homocysteine-Inducible Endoplasmic Reticulum Stress-Inducible Ubiquitin-Like Domain 1
      ApplicationELISA (see comments)
      Immunoblotting (1-5 µg/ml)
      Paraffin Sections (3 µg/ml)
      Application Data
      Detection of human HERPUD1 by immunoblotting. Sample: Whole cell lysate from HepG2 cells. Primary antibody: Anti-HERPUD1 Mouse mAb (2G7) (Cat. No. ST1607) (1-5 µg/ml). Detection: chemiluminescence.

      Detection of human HERPUD1 by staining paraffin sections. Sample: Formalin-fixed, paraffin-embedded human tonsil. Primary antibody: Anti-HERPUD1 Mouse mAb (2G7) (Cat. No. ST1607) (3 µg/ml). Detection: colorimetric (DAB).
      DescriptionPurified mouse monoclonal antibody. Recognizes the ~50 kDa HERPUD1 protein.
      BackgroundThe accumulation of unfolded proteins in the endoplasmic reticulum (ER) triggers the ER stress response. This response includes the inhibition of translation to prevent further accumulation of unfolded proteins, the increased expression of proteins involved in polypeptide folding, known as the unfolded protein response (UPR), and the destruction of misfolded proteins by the ER-associated protein degradation (ERAD) system. This gene may play a role in both UPR and ERAD. Its expression is induced by UPR and it has an ER stress response element in its promoter region while the encoded protein has an N-terminal ubiquitin-like domain which may interact with the ERAD system. This protein has been shown to interact with presenilin proteins and to increase the level of amyloid-β protein following its overexpression. Alternative splicing of this gene produces multiple transcript variants, some encoding different isoforms. The full-length nature of all transcript variants has not been determined.
      HostMouse
      ImmunogenA recombinant polypeptide corresponding to amino acids 74-181 of human HERPUD1, expressed as a GST fusion protein
      Clone2G7
      IsotypeIgG2a
      Specieshuman
      Positive controlHepG2 cells, Human tonsil tissue
      Negative control293T cells
      FormLiquid
      FormulationIn PBS, pH 7.2.
      PreservativeNone
      CommentsFor ELISA, this antibody can be used as the capture antibody; recommended concentration is 10 ng/ml, 1 µg/well, 100 µl total volume. Variables associated with assay conditions will dictate the proper working dilution.
      Storage Avoid freeze/thaw
      -20°C
      Do Not Freeze Ok to freeze
      Special InstructionsFollowing initial thaw, aliquot and freeze (-20°C).
      Toxicity Regulatory Review
      ReferencesLass, A., et al. 2008. Int. J. Biochem. Cell Biol. 40, 2865.