Millipore Sigma Vibrant Logo

MABC1720-25UG Anti-PMEL Antibody, clone HMB-45

MABC1720-25UG
25 μg  
Retrieving price...
Price could not be retrieved
Minimum Quantity is a multiple of
Maximum Quantity is
Upon Order Completion More Information
You Saved ()
 
Request Pricing
Limited Availability
Limited Availability
In Stock 
Discontinued
Limited Quantities Available
Availability to be confirmed
    Remaining : Will advise
      Remaining : Will advise
      Will advise
      Contact Customer Service
      Contact Customer Service

       

      Contact Customer Service

      Overview

      Replacement Information
      Description
      Catalogue NumberMABC1720-25UG
      DescriptionAnti-PMEL Antibody, clone HMB-45
      Alternate Names
      • Melanocyte protein PMEL
      • ME20-M
      • ME20M
      • Melanocyte protein Pmel 17
      • Melanocytes lineage-specific antigen GP100
      • Melanoma-associated ME20 antigen
      • P1
      • P100
      • Premelanosome protein
      • Silver locus protein homolog
      Background InformationMelanocyte protein PMEL (UniProt: P40967; also known as ME20-M, ME20M, Melanocyte protein Pmel 17, Melanocytes lineage-specific antigen GP100, Melanoma-associated ME20 antigen, P1, P100, Premelanosome protein, Silver locus protein homolog) is encoded by the PMEL (also known as D12S53E, PMEL17, SILV) gene (Gene ID: 6490) in human. PMEL is a disulfide-linked heterodimeric glycoprotein protein composed of a soluble M-alpha (aa 24-467; ME20S) and an integral membrane subunit M-beta (aa 470-661). It plays a key role in the biogenesis and maturation of melanosome from stage I to stage II. It is synthesized with a signal peptide (aa 1-24), which is subsequently cleaved off to produce the mature form, which then cleaves into M-alpha and M-beta chains. It has been shown that despite cleavage, only a small fraction of M-alpha is secreted, whereas most M-alpha and M-beta remain associated with each other intracellularly. PMEL is preferentially expressed in melanomas and is neither found in normal tissues nor in carcinomas. In quiescent adult melanocytes it is found in very low levels. The release of soluble form is reported to protect tumor cells from antibody-mediated immunity. Five different isoforms of PMEL have been described that are produced by alternative splicing.
      References
      Product Information
      FormatPurified
      PresentationPurified mouse monoclonal antibody IgG1 in buffer containing 0.1 M Tris-Glycine (pH 7.4), 150 mM NaCl with 0.05% sodium azide.
      Applications
      ApplicationAnti-PMEL, clone HMB-45, Cat. No. MABC1720, is a mouse monoclonal antibody that detects Melanocyte protein PMEL (HMB-45) and has been tested for use in Immunohistochemistry (Paraffin).
      Key Applications
      • Immunohistochemistry (Paraffin)
      Application NotesImmunohistochemistry (Paraffin) Analysis: A 1:250 dilution from a representative lot detected PMEL in human melanoma tissue sections.

      Immunohistochemistry (Paraffin) Analysis: A representative lot detected PMEL in Immunohistochemistry applications (Gown, A.M., et. al. (1986). Am J Pathol. 123(2):195-203).
      Biological Information
      ImmunogenPigmented melanoma metastases extracted from human lymph nodes.
      CloneHMB-45
      ConcentrationPlease refer to lot specific datasheet.
      HostMouse
      SpecificityClone HMB-45 is a mouse monoclonal antibody that detects human Melanocyte protein PMEL.
      IsotypeIgG1κ
      Species Reactivity
      • Human
      Species Reactivity NoteHuman.
      Antibody TypeMonoclonal Antibody
      Entrez Gene Number
      Gene Symbol
      • PMEL
      • D12S53E
      • PMEL17
      Purification MethodProtein G purified
      UniProt Number
      Molecular Weight70.25 kDa calculated.
      Physicochemical Information
      Dimensions
      Materials Information
      Toxicological Information
      Safety Information according to GHS
      Safety Information
      Product Usage Statements
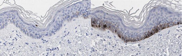
      Quality AssuranceEvaluated by Immunohistochemistry (Paraffin) in human skin tissue sections.

      Immunohistochemistry (Paraffin) Analysis: A 1:250 dilution of this antibody detected PMEL in human skin tissue sections.
      Usage Statement
      • Unless otherwise stated in our catalog or other company documentation accompanying the product(s), our products are intended for research use only and are not to be used for any other purpose, which includes but is not limited to, unauthorized commercial uses, in vitro diagnostic uses, ex vivo or in vivo therapeutic uses or any type of consumption or application to humans or animals.
      Storage and Shipping Information
      Storage ConditionsStable for 1 year at 2-8°C from date of receipt.
      Packaging Information
      Material Size25 μg
      Transport Information
      Supplemental Information
      Specifications
      Global Trade Item Number
      Catalogue Number GTIN
      MABC1720-25UG 04054839007217

      Documentation

      Anti-PMEL Antibody, clone HMB-45 Certificates of Analysis

      TitleLot Number
      Anti-PMEL, clone HMB-45 - 3245722 3245722

      References

      Reference overviewPub Med ID
      Monoclonal antibodies specific for melanocytic tumors distinguish subpopulations of melanocytes.
      Gown, AM; Vogel, AM; Hoak, D; Gough, F; McNutt, MA
      Am J Pathol  124  195-204  1987

      Show Abstract
      3518473 3518473