ST1502 Sigma-AldrichAnti-RNF5 Rabbit pAb
This Anti-RNF5 Rabbit pAb is validated for use in Immunoblotting, Immunoprecipitation for the detection of RNF5.
More>> This Anti-RNF5 Rabbit pAb is validated for use in Immunoblotting, Immunoprecipitation for the detection of RNF5. Less<<Synonyms: Anti-Ring finger protein Rabbit pAb, Anti-RING5 Rabbit pAb
Overview
| Replacement Information |
|---|
Key Spec Table
| Species Reactivity | Host | Antibody Type |
|---|---|---|
| H | Rb | Polyclonal Antibody |
| References |
|---|
| Product Information | |
|---|---|
| Form | Liquid |
| Formulation | In PBS. |
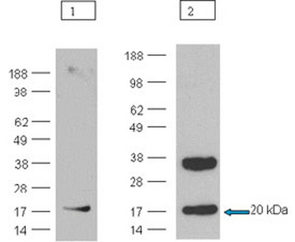
| Positive control | HeLa cells |
| Preservative | ≤0.1% sodium azide |
| Biological Information | |
|---|---|
| Immunogen | a synthetic peptide corresponding to amino acids from a central region of human RNF-5 |
| Host | Rabbit |
| Species Reactivity |
|
| Antibody Type | Polyclonal Antibody |
| Physicochemical Information |
|---|
| Dimensions |
|---|
| Materials Information |
|---|
| Toxicological Information |
|---|
| Safety Information according to GHS |
|---|
| Safety Information |
|---|
| Product Usage Statements |
|---|
| Storage and Shipping Information | |
|---|---|
| Ship Code | Blue Ice Only |
| Toxicity | Standard Handling |
| Storage | -20°C |
| Do not freeze | Ok to freeze |
| Special Instructions | Following initial thaw, aliquot and freeze (-20°C). |
| Packaging Information |
|---|
| Transport Information |
|---|
| Supplemental Information |
|---|
| Specifications |
|---|
| Global Trade Item Number | |
|---|---|
| Catalogue Number | GTIN |
| ST1502 | 0 |
Documentation
Anti-RNF5 Rabbit pAb SDS
| Title |
|---|
Anti-RNF5 Rabbit pAb Certificates of Analysis
| Title | Lot Number |
|---|---|
| ST1502 |




