Wenn Sie das Fenster schließen, wird Ihre Konfiguration nicht gespeichert, es sei denn, Sie haben Ihren Artikel in die Bestellung aufgenommen oder zu Ihren Favoriten hinzugefügt.
Klicken Sie auf OK, um das MILLIPLEX® MAP-Tool zu schließen oder auf Abbrechen, um zu Ihrer Auswahl zurückzukehren.
Wählen Sie konfigurierbare Panels & Premixed-Kits - ODER - Kits für die zelluläre Signaltransduktion & MAPmates™
Konfigurieren Sie Ihre MILLIPLEX® MAP-Kits und lassen sich den Preis anzeigen.
Konfigurierbare Panels & Premixed-Kits
Unser breites Angebot enthält Multiplex-Panels, für die Sie die Analyten auswählen können, die am besten für Ihre Anwendung geeignet sind. Unter einem separaten Register können Sie das Premixed-Cytokin-Format oder ein Singleplex-Kit wählen.
Kits für die zelluläre Signaltransduktion & MAPmates™
Wählen Sie gebrauchsfertige Kits zur Erforschung gesamter Signalwege oder Prozesse. Oder konfigurieren Sie Ihre eigenen Kits mit Singleplex MAPmates™.
Die folgenden MAPmates™ sollten nicht zusammen analysiert werden: -MAPmates™, die einen unterschiedlichen Assaypuffer erfordern. -Phosphospezifische und MAPmate™ Gesamtkombinationen wie Gesamt-GSK3β und Gesamt-GSK3β (Ser 9). -PanTyr und locusspezifische MAPmates™, z.B. Phospho-EGF-Rezeptor und Phospho-STAT1 (Tyr701). -Mehr als 1 Phospho-MAPmate™ für ein einziges Target (Akt, STAT3). -GAPDH und β-Tubulin können nicht mit Kits oder MAPmates™, die panTyr enthalten, analysiert werden.
.
Bestellnummer
Bestellinformationen
St./Pkg.
Liste
Dieser Artikel wurde zu Ihren Favoriten hinzugefügt.
Wählen Sie bitte Spezies, Panelart, Kit oder Probenart
Um Ihr MILLIPLEX® MAP-Kit zu konfigurieren, wählen Sie zunächst eine Spezies, eine Panelart und/oder ein Kit.
Custom Premix Selecting "Custom Premix" option means that all of the beads you have chosen will be premixed in manufacturing before the kit is sent to you.
Catalogue Number
Ordering Description
Qty/Pack
List
Dieser Artikel wurde zu Ihren Favoriten hinzugefügt.
Spezies
Panelart
Gewähltes Kit
Menge
Bestellnummer
Bestellinformationen
St./Pkg.
Listenpreis
96-Well Plate
Menge
Bestellnummer
Bestellinformationen
St./Pkg.
Listenpreis
Weitere Reagenzien hinzufügen (MAPmates erfordern die Verwendung eines Puffer- und Detektionskits)
Menge
Bestellnummer
Bestellinformationen
St./Pkg.
Listenpreis
48-602MAG
Buffer Detection Kit for Magnetic Beads
1 Kit
Platzsparende Option Kunden, die mehrere Kits kaufen, können ihre Multiplex-Assaykomponenten in Kunststoffbeuteln anstelle von Packungen erhalten, um eine kompaktere Lagerung zu ermöglichen.
Dieser Artikel wurde zu Ihren Favoriten hinzugefügt.
Das Produkt wurde in Ihre Bestellung aufgenommen
Sie können nun ein weiteres Kit konfigurieren, ein Premixed-Kit wählen, zur Kasse gehen oder das Bestell-Tool schließen.
AP1160
Sigma-AldrichAnti-NDRG1 Mouse mAb (2D7)
This Anti-NDRG1 Mouse mAb (2D7) is validated for use in ELISA, Immunoblotting, Immunocytochemistry, Paraffin Sections for the detection of NDRG1.
More>>This Anti-NDRG1 Mouse mAb (2D7) is validated for use in ELISA, Immunoblotting, Immunocytochemistry, Paraffin Sections for the detection of NDRG1. Less<<
Anti-NDRG1 Mouse mAb (2D7): SDB (Sicherheitsdatenblätter), Analysenzertifikate und Qualitätszertifikate, Dossiers, Broschüren und andere verfügbare Dokumente.
Das Mengenfeld ist leer. Bitte geben Sie eine Menge von 1 oder mehr ein, um Artikel in Ihre Bestellung aufzunehmen.
Description
Overview
Recognizes the ~40-45 kDa NDRG1 protein in HeLa cells and human endometrium tissue.
Catalogue Number
AP1160
Brand Family
Calbiochem®
Synonyms
Anti-N-myc Downstream Regulator 1
Application Data
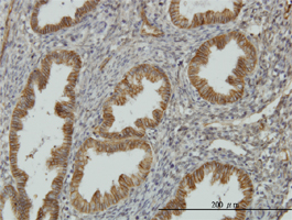
Detection of human NDRG1 by immunoblotting. Sample: Full-length recombinant human NDRG1 protein. Primary antibody: Anti-NDRG1 Mouse mAb (2D7) (Cat. No. AP1160) (1-5 µg/ml). Detection: chemiluniescence. Detection of human NDRG1 by immunocytochemistry. Sample: HeLa cells fixed in paraformaldehyde. Primary antibody: Anti-NDRG1 Mouse mAb (2D7) (Cat. No. AP1160) (10 µg/ml). Detection: fluorescence. Detection of human NDRG1 by staining paraffin sections. Sample: Formalin-fixed, paraffin-embedded human endometrium. Primary antibody: Anti-NDRG1 Mouse mAb (2D7) (Cat. No. AP1160) (0.7 µg/ml). Detection: colorimetric (DAB).
References
References
Jiang, K., et al. 2010. Scand. J. Gastroenterol45, 898. Leth-Larsen R, et al. 2009. Mol. Cell Proteomics8, 1436.
For ELISA, this antibody can be used as the capture antibody; recommended concentration is 10 ng/ml, 1 µg/well, 100 µl total volume. Variables associated with assay conditions will dictate the proper working dilution.
Biological Information
Immunogen
Full-length, recombinant human NDRG1 (aa 1-395), expressed as a GST fusion protein
Clone
2D7
Host
Mouse
Isotype
IgG2a
Species Reactivity
Human
Antibody Type
Monoclonal Antibody
Physicochemical Information
Dimensions
Materials Information
Toxicological Information
Safety Information according to GHS
Safety Information
Product Usage Statements
Storage and Shipping Information
Ship Code
Blue Ice Only
Toxicity
Regulatory Review
Storage
-20°C
Avoid freeze/thaw
Avoid freeze/thaw
Do not freeze
Ok to freeze
Special Instructions
Following initial thaw, aliquot and freeze (-20°C).
Jiang, K., et al. 2010. Scand. J. Gastroenterol45, 898. Leth-Larsen R, et al. 2009. Mol. Cell Proteomics8, 1436.
Datenblatt
Note that this data sheet is not lot-specific and is representative of the current specifications for this product. Please consult the vial label and the certificate of analysis for information on specific lots. Also note that shipping conditions may differ from storage conditions.
Detection of human NDRG1 by immunoblotting. Sample: Full-length recombinant human NDRG1 protein. Primary antibody: Anti-NDRG1 Mouse mAb (2D7) (Cat. No. AP1160) (1-5 µg/ml). Detection: chemiluniescence. Detection of human NDRG1 by immunocytochemistry. Sample: HeLa cells fixed in paraformaldehyde. Primary antibody: Anti-NDRG1 Mouse mAb (2D7) (Cat. No. AP1160) (10 µg/ml). Detection: fluorescence. Detection of human NDRG1 by staining paraffin sections. Sample: Formalin-fixed, paraffin-embedded human endometrium. Primary antibody: Anti-NDRG1 Mouse mAb (2D7) (Cat. No. AP1160) (0.7 µg/ml). Detection: colorimetric (DAB).
Description
Purified mouse monoclonal antibody. Recognizes the ~40-45 kDa NDRG1 protein.
Background
NDRG1 is a member of the N-myc downregulated gene family which belongs to the alpha/beta hydrolase superfamily. The protein encoded by this gene is a cytoplasmic protein involved in stress responses, hormone responses, cell growth, and differentiation. It is necessary for p53-mediated caspase activation and apoptosis. Mutation in this gene has been reported to be causative for hereditary motor and sensory neuropathy-Lom.
Host
Mouse
Immunogen
Full-length, recombinant human NDRG1 (aa 1-395), expressed as a GST fusion protein
Clone
2D7
Isotype
IgG2a
Species
human
Positive control
Human endometrium tissue, HeLa cells
Form
Liquid
Formulation
In PBS, pH 7.2.
Preservative
None
Comments
For ELISA, this antibody can be used as the capture antibody; recommended concentration is 10 ng/ml, 1 µg/well, 100 µl total volume. Variables associated with assay conditions will dictate the proper working dilution.
Storage
Avoid freeze/thaw
-20°C
Do Not Freeze
Ok to freeze
Special Instructions
Following initial thaw, aliquot and freeze (-20°C).
Toxicity
Regulatory Review
References
Jiang, K., et al. 2010. Scand. J. Gastroenterol45, 898. Leth-Larsen R, et al. 2009. Mol. Cell Proteomics8, 1436.