ABE794 Sigma-AldrichAnti-PCBP4 Antibody
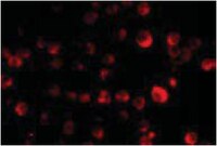
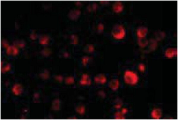
Anti-PCBP4 Antibody is a highly specific rabbit polyclonal antibody, that targets Poly (rC) binding protein 4 & has been tested in western blotting, ICC & Immunofluorescence.
More>> Anti-PCBP4 Antibody is a highly specific rabbit polyclonal antibody, that targets Poly (rC) binding protein 4 & has been tested in western blotting, ICC & Immunofluorescence. Less<<Overview
| Replacement Information |
|---|
Key Spec Table
| Species Reactivity | Key Applications | Host | Format | Antibody Type |
|---|---|---|---|---|
| H | WB, ICC, IF | Rb | Affinity Purified | Polyclonal Antibody |
| References |
|---|
| Product Information | |
|---|---|
| Format | Affinity Purified |
| Presentation | Purified rabbit polyclonal in buffer containing PBS with up to 0.1% sodium azide. |
| Quality Level | MQ100 |
| Physicochemical Information |
|---|
| Dimensions |
|---|
| Materials Information |
|---|
| Toxicological Information |
|---|
| Safety Information according to GHS |
|---|
| Safety Information |
|---|
| Storage and Shipping Information | |
|---|---|
| Storage Conditions | Stable for 1 year at 2-8°C from date of receipt. |
| Packaging Information | |
|---|---|
| Material Size | 100 µg |
| Transport Information |
|---|
| Supplemental Information |
|---|
| Specifications |
|---|
| Global Trade Item Number | |
|---|---|
| Catalogue Number | GTIN |
| ABE794 | 04053252940729 |
Documentation
Anti-PCBP4 Antibody SDS
| Title |
|---|
Anti-PCBP4 Antibody Certificates of Analysis
| Title | Lot Number |
|---|---|
| Anti-PCBP4 - QVP1309264 | QVP1309264 |
| Anti-PCBP4 - VP1703236 | VP1703236 |
| Anti-PCBP4 - VP2106254 | VP2106254 |
| Anti-PCBP4 Polyclonal Antibody | VP1705036 |



