Wenn Sie das Fenster schließen, wird Ihre Konfiguration nicht gespeichert, es sei denn, Sie haben Ihren Artikel in die Bestellung aufgenommen oder zu Ihren Favoriten hinzugefügt.
Klicken Sie auf OK, um das MILLIPLEX® MAP-Tool zu schließen oder auf Abbrechen, um zu Ihrer Auswahl zurückzukehren.
Wählen Sie konfigurierbare Panels & Premixed-Kits - ODER - Kits für die zelluläre Signaltransduktion & MAPmates™
Konfigurieren Sie Ihre MILLIPLEX® MAP-Kits und lassen sich den Preis anzeigen.
Konfigurierbare Panels & Premixed-Kits
Unser breites Angebot enthält Multiplex-Panels, für die Sie die Analyten auswählen können, die am besten für Ihre Anwendung geeignet sind. Unter einem separaten Register können Sie das Premixed-Cytokin-Format oder ein Singleplex-Kit wählen.
Kits für die zelluläre Signaltransduktion & MAPmates™
Wählen Sie gebrauchsfertige Kits zur Erforschung gesamter Signalwege oder Prozesse. Oder konfigurieren Sie Ihre eigenen Kits mit Singleplex MAPmates™.
Die folgenden MAPmates™ sollten nicht zusammen analysiert werden: -MAPmates™, die einen unterschiedlichen Assaypuffer erfordern. -Phosphospezifische und MAPmate™ Gesamtkombinationen wie Gesamt-GSK3β und Gesamt-GSK3β (Ser 9). -PanTyr und locusspezifische MAPmates™, z.B. Phospho-EGF-Rezeptor und Phospho-STAT1 (Tyr701). -Mehr als 1 Phospho-MAPmate™ für ein einziges Target (Akt, STAT3). -GAPDH und β-Tubulin können nicht mit Kits oder MAPmates™, die panTyr enthalten, analysiert werden.
.
Bestellnummer
Bestellinformationen
St./Pkg.
Liste
Dieser Artikel wurde zu Ihren Favoriten hinzugefügt.
Wählen Sie bitte Spezies, Panelart, Kit oder Probenart
Um Ihr MILLIPLEX® MAP-Kit zu konfigurieren, wählen Sie zunächst eine Spezies, eine Panelart und/oder ein Kit.
Custom Premix Selecting "Custom Premix" option means that all of the beads you have chosen will be premixed in manufacturing before the kit is sent to you.
Catalogue Number
Ordering Description
Qty/Pack
List
Dieser Artikel wurde zu Ihren Favoriten hinzugefügt.
Spezies
Panelart
Gewähltes Kit
Menge
Bestellnummer
Bestellinformationen
St./Pkg.
Listenpreis
96-Well Plate
Menge
Bestellnummer
Bestellinformationen
St./Pkg.
Listenpreis
Weitere Reagenzien hinzufügen (MAPmates erfordern die Verwendung eines Puffer- und Detektionskits)
Menge
Bestellnummer
Bestellinformationen
St./Pkg.
Listenpreis
48-602MAG
Buffer Detection Kit for Magnetic Beads
1 Kit
Platzsparende Option Kunden, die mehrere Kits kaufen, können ihre Multiplex-Assaykomponenten in Kunststoffbeuteln anstelle von Packungen erhalten, um eine kompaktere Lagerung zu ermöglichen.
Dieser Artikel wurde zu Ihren Favoriten hinzugefügt.
Das Produkt wurde in Ihre Bestellung aufgenommen
Sie können nun ein weiteres Kit konfigurieren, ein Premixed-Kit wählen, zur Kasse gehen oder das Bestell-Tool schließen.
ABF218
Sigma-AldrichAnti-STIM2 Antibody
Detect Stromal interaction molecule 2 using this rabbit polyclonal antibody, Anti-STIM2 Antibody validated for use in western blotting, IHC (Paraffin) & Immunofluorescence.
More>>Detect Stromal interaction molecule 2 using this rabbit polyclonal antibody, Anti-STIM2 Antibody validated for use in western blotting, IHC (Paraffin) & Immunofluorescence. Less<<
Anti-STIM2 Antibody: SDB (Sicherheitsdatenblätter), Analysenzertifikate und Qualitätszertifikate, Dossiers, Broschüren und andere verfügbare Dokumente.
Stromal interaction molecule 2 (STIM2) plays an important role in mediating store-operated Ca2+ entry (SOCE), a Ca2+ influx following depletion of intracellular Ca2+ stores. It inhibits STIM1-mediated store-operated Ca++ entry; however, STIM2 can form complexes with STIM1. This suggests that STIM1 and STIM2 may play a coordinated role in controlling Ca++ entry. STIM2 is expressed in all tissues and tumor cell lines examined.
References
Product Information
Format
Affinity Purified
Control
A-20 cell lysate
Presentation
Purified rabbit polyclonal in buffer containing PBS with up to 0.1% sodium azide.
Detect Stromal interaction molecule 2 using this rabbit polyclonal antibody, Anti-STIM2 Antibody validated for use in western blotting, IHC (Paraffin) & Immunofluorescence.
Key Applications
Western Blotting
Immunohistochemistry (Paraffin)
Immunofluorescence
Application Notes
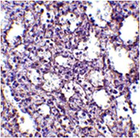
Immunohistochemistry Analysis: 2.5 µg/mL from a representative lot detected STIM2 in human spleen tissue.
Immunofluorescence Analysis: 20 μg/mL from a representative lot detected STIM2 in human spleen cells.
Biological Information
Immunogen
KLH-conjugated linear peptide corresponding to the intermediate domain of human STIM2.
Epitope
Intermediate domain
Concentration
Please refer to the Certificate of Analysis for the lot-specific concentration.
Host
Rabbit
Specificity
This antibody recognizes the intermediate domain of STIM2.
Evaluated by Western Blotting in A-20 cell lysate.
Western Blotting Analysis: 2 µg/mL of this antibody detected STIM2 in 15 µg of A-20 cell lysate.
Usage Statement
Unless otherwise stated in our catalog or other company documentation accompanying the product(s), our products are intended for research use only and are not to be used for any other purpose, which includes but is not limited to, unauthorized commercial uses, in vitro diagnostic uses, ex vivo or in vivo therapeutic uses or any type of consumption or application to humans or animals.