DR1058 Sigma-AldrichAnti-SOCS3 Mouse mAb (1E4)
This Anti-SOCS3 Mouse mAb (1E4) is validated for use in ELISA, Paraffin Sections for the detection of SOCS3.
More>> This Anti-SOCS3 Mouse mAb (1E4) is validated for use in ELISA, Paraffin Sections for the detection of SOCS3. Less<<Sinónimos: Anti-Suppressor Cytokine Signaling 3
Productos recomendados
Descripción
| Replacement Information |
|---|
Tabla espec. clave
| Species Reactivity | Host | Antibody Type |
|---|---|---|
| H | M | Monoclonal Antibody |
| References |
|---|
| Product Information | |
|---|---|
| Form | liquid |
| Formulation | In PBS, pH 7.2. |
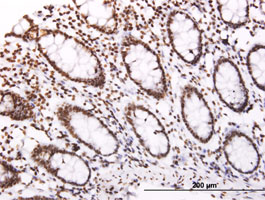
| Positive control | Human colon tissue |
| Preservative | None |
| Physicochemical Information |
|---|
| Dimensions |
|---|
| Materials Information |
|---|
| Toxicological Information |
|---|
| Safety Information according to GHS |
|---|
| Safety Information |
|---|
| Product Usage Statements |
|---|
| Packaging Information |
|---|
| Transport Information |
|---|
| Supplemental Information |
|---|
| Specifications |
|---|
| Global Trade Item Number | |
|---|---|
| Número de referencia | GTIN |
| DR1058 | 0 |




