Le fait de fermer ne sauvegardera pas votre configuration à moins que vous n'ajoutiez l'article à votre Panier d'achat ou à vos Favoris.
Cliquer sur OK pour fermer l'outil MILLIPLEX® MAP ou sur Annuler pour retourner à votre sélection.
Choisissez des Panels configurables & des Kits préconfigurés - OU - des MAPmate™ de signalisation cellulaire
Concevez vos kits MILLIPLEX® MAP et obtenez leur prix.
Panels configurables & Kits préconfigurés
Notre large gamme est constituée de panels multiplex qui vous permettent de choisir, au sein d'un panel, les analytes qui répondent le mieux à vos besoins. Sur un autre onglet, vous pouvez choisir un format cytokine préconfiguré ou un kit Simplex.
Kits de signalisation cellulaire & MAPmate™
Choisissez des kits préconfigurés qui permettent d'explorer l'ensemble des voies ou des processus. Ou concevez vos propres kits en choisissant des Simplex MAPmate™ et en suivant les instructions fournies.
Les MAPmate™ suivants ne peuvent pas être utilisés ensemble : -des MAPmate™ qui nécessitent des tampons différents -des paires de MAPmate™ totaux et phospho-spécifiques, par ex. GSK3β total et GSK3β (Ser 9) -des MAPmate™ PanTyr et spécifiques d'un site, par ex. Récepteur Phospho-EGF et phospho-STAT1 (Tyr701) -Plus d'un phospho-MAPmate™ pour une seule cible (Akt, STAT3). -GAPDH et β-Tubuline ne peuvent pas être utilisés avec les kits ou les MAPmate™ contenant panTyr.
.
Référence
Guide d'achat
Qté
Liste
Cet article a été ajouté à vos favoris.
Sélectionner une espèce, un type de panel, un kit ou un type d'échantillon
Pour commencer à concevoir votre kit MILLIPLEX® MAP, sélectionnez une espèce, un type de panel ou un kit d'intérêt.
Custom Premix Selecting "Custom Premix" option means that all of the beads you have chosen will be premixed in manufacturing before the kit is sent to you.
Catalogue Number
Ordering Description
Qty/Pack
List
Cet article a été ajouté à vos favoris.
Espèce
Type de panel
Kit sélectionné
Qté
Référence
Guide d'achat
Qté
Prix tarif
96-Well Plate
Qté
Référence
Guide d'achat
Qté
Prix tarif
Ajouter des réactifs supplémentaires (Un kit "Buffer and Detection Kit" est nécessaire pour une utilisation avec les MAPmate™)
Qté
Référence
Guide d'achat
Qté
Prix tarif
48-602MAG
Buffer Detection Kit for Magnetic Beads
1 Kit
Option de gain de place Nos clients qui commandent plusieurs kits peuvent choisir d'économiser de l'espace de stockage en éliminant l'emballage de chaque kit et de recevoir les composants de leur essai multiplex conditionnés sous poches en plastique pour un stockage plus compact.
Cet article a été ajouté à vos favoris.
Ce produit a été ajouté à votre panier.
Vous pouvez maintenant concevoir un autre kit personnalisé, choisir un kit pré-configuré, régler vos achats ou fermer l'outil de commande.
Anti-Aquaporin 2 (254-271), rabbit polyclonal, recognizes the ~40 and ~29 kDa forms of aquaporin-2 in rat kidney membrane. Supplied with a control peptide. It is validated for WB, IHC, and IP.
More>>Anti-Aquaporin 2 (254-271), rabbit polyclonal, recognizes the ~40 and ~29 kDa forms of aquaporin-2 in rat kidney membrane. Supplied with a control peptide. It is validated for WB, IHC, and IP. Less<<
Anti-Aquaporin 2 (254-271) Rabbit pAb : FDS (Fiches de données de sécurité), certificats d’analyse (CoA) et de qualité (CoQ), dossiers, brochures et autres documents disponibles.
Le champ quantité est vide. Veuillez saisir une quantité supérieure ou égale à 1 au minimum pour ajouter des articles à votre panier.
Description
Overview
Recognizes the ~40 kDa and ~29 kDa forms of aquaporin-2 in rat kidney membrane. Supplied with a control peptide (AQP2254-271 immunogen peptide).
Catalogue Number
178612
Brand Family
Calbiochem®
Synonyms
Anti-AQP2, Anti-AQP-CD, Anti-WCH-CD
Application Data
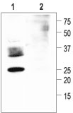
Detection of rat aquaporin 2 by immunoblotting. Samples: Rat kidney membranes (lane 1) and preincubated with a control peptide antigen (lane 2). Primary antibody: Anti-Aquaporin 2 (254-271) Rabbit pAb (Cat. No. 178612) (1:200). Detection: chemiluminescence. Detection of rat aquaporin 2 by immunohistochemistry. Sample: Rat kidney showing the inner medulla. Primary antibody: Anti-Aquaporin 2 (254-271) Rabbit pAb (Cat. No. 178612) (1:100). Detection: fluorescence.
References
References
Fushimi, K., et al. 1997. J. Biol. Chem. 272, 14800. Fushimi, K., et al. 1993. Nature 361, 549. Ma, T., et al. 1993. Biochem. Biophys. Res. Commun. 197, 654. Nielson, S., et al. 1993. Proc. Natl. Acad. Sci. USA90, 11663.
Product Information
Form
Lyophilized
Formulation
50 µl antibody lyophilized from PBS, 5% sucrose, pH 7.4 and 40 µg control peptide lyophilized from PBS.
Immunoprecipitation
Fushimi, K., et al. 1997. J. Biol. Chem. 272, 14800.
Immunohistochemistry
Fushimi, K., et al. 1993. Nature 361, 549.
Nielson, S., et al. 1993. Proc. Natl. Acad. Sci. USA90, 11663.
Immunoblotting (1:200-1:600) Immunohistochemistry (see application reference) Immunoprecipitation (see application reference)
Application Comments
Immunogen peptide is identical in rat and mouse protein, and differs by one amino acid in the human sequence. The epitope is unique for AQP2 and is not present in other known related proteins. It is identical in mouse and rat, and only slightly different (17/18 identical) in human. To prepare a negative control, preincubate 1 µg peptide with 1 µg antibody for 1 h at room temperature. Variables associated with assay conditions will dictate the optimal working dilution.
Biological Information
Immunogen
a synthetic peptide [(KY)RQSVELHSPQSLPRGSKA] corresponding to amino acids 254-271 of rat and mouse AQP2, conjugated to KLH
Immunogen
Mouse/Rat
Host
Rabbit
Isotype
IgG
Species Reactivity
Human
Mouse
Rat
Antibody Type
Polyclonal Antibody
Concentration Label
Please refer to vial label for lot-specific concentration
Physicochemical Information
Dimensions
Materials Information
Toxicological Information
Safety Information according to GHS
Safety Information
Product Usage Statements
Storage and Shipping Information
Ship Code
Ambient Temperature Only
Toxicity
Irritant
Storage
-20°C
Do not freeze
Ok to freeze
Special Instructions
Please see antibody label for lot specific reconstitution instructions. Further dilutions should be made in a physiological buffer containing a carrier protein such as 1-3% BSA. To reduce nonspecific staining, centrifuge all antibody preparations before use (10000 x g for 5 min) to remove any aggregates. Following reconstitution, aliquot and freeze (-20°C). Reconstitute the peptide in 100 µl deionized water, aliquot, and freeze (-20°C).
Fushimi, K., et al. 1997. J. Biol. Chem. 272, 14800. Fushimi, K., et al. 1993. Nature 361, 549. Ma, T., et al. 1993. Biochem. Biophys. Res. Commun. 197, 654. Nielson, S., et al. 1993. Proc. Natl. Acad. Sci. USA90, 11663.
Fiche technique
Note that this data sheet is not lot-specific and is representative of the current specifications for this product. Please consult the vial label and the certificate of analysis for information on specific lots. Also note that shipping conditions may differ from storage conditions.
Revision
14-February-2008 JSW
Synonyms
Anti-AQP2, Anti-AQP-CD, Anti-WCH-CD
Application
Immunoblotting (1:200-1:600) Immunohistochemistry (see application reference) Immunoprecipitation (see application reference)
Application Data
Detection of rat aquaporin 2 by immunoblotting. Samples: Rat kidney membranes (lane 1) and preincubated with a control peptide antigen (lane 2). Primary antibody: Anti-Aquaporin 2 (254-271) Rabbit pAb (Cat. No. 178612) (1:200). Detection: chemiluminescence. Detection of rat aquaporin 2 by immunohistochemistry. Sample: Rat kidney showing the inner medulla. Primary antibody: Anti-Aquaporin 2 (254-271) Rabbit pAb (Cat. No. 178612) (1:100). Detection: fluorescence.
Description
Protein A purified rabbit polyclonal antibody. Recognizes the ~40 kDa and ~29 kDa aquaporin-2 proteins. Supplied with a control peptide (AQP2254-271 immunogen peptide).
Background
AQP2 is the vasopressin-regulated water channel of the apical membrane of collecting duct cells. Defects in AQP2 are a cause of an autosomal dominant form of nephrogenic diabetes insipidus (NDI).
Host
Rabbit
Immunogen species
Mouse/Rat
Immunogen
a synthetic peptide [(KY)RQSVELHSPQSLPRGSKA] corresponding to amino acids 254-271 of rat and mouse AQP2, conjugated to KLH
Isotype
IgG
Species
human, mouse, rat
Form
Lyophilized
Formulation
50 µl antibody lyophilized from PBS, 5% sucrose, pH 7.4 and 40 µg control peptide lyophilized from PBS.
Concentration Label
Please refer to vial label for lot-specific concentration
Preservative
≤0.1% sodium azide
Comments
Immunogen peptide is identical in rat and mouse protein, and differs by one amino acid in the human sequence. The epitope is unique for AQP2 and is not present in other known related proteins. It is identical in mouse and rat, and only slightly different (17/18 identical) in human. To prepare a negative control, preincubate 1 µg peptide with 1 µg antibody for 1 h at room temperature. Variables associated with assay conditions will dictate the optimal working dilution.
Storage
-20°C
Do Not Freeze
Ok to freeze
Special Instructions
Please see antibody label for lot specific reconstitution instructions. Further dilutions should be made in a physiological buffer containing a carrier protein such as 1-3% BSA. To reduce nonspecific staining, centrifuge all antibody preparations before use (10000 x g for 5 min) to remove any aggregates. Following reconstitution, aliquot and freeze (-20°C). Reconstitute the peptide in 100 µl deionized water, aliquot, and freeze (-20°C).
Toxicity
Irritant
References
Fushimi, K., et al. 1997. J. Biol. Chem. 272, 14800. Fushimi, K., et al. 1993. Nature 361, 549. Ma, T., et al. 1993. Biochem. Biophys. Res. Commun. 197, 654. Nielson, S., et al. 1993. Proc. Natl. Acad. Sci. USA90, 11663.
Application references
Immunoprecipitation
Fushimi, K., et al. 1997. J. Biol. Chem. 272, 14800.
Immunohistochemistry
Fushimi, K., et al. 1993. Nature 361, 549.
Nielson, S., et al. 1993. Proc. Natl. Acad. Sci. USA90, 11663.