Millipore Sigma Vibrant Logo

MABS1998-100UG Anti-HPa3 Antibody, clone HIC3-2D12

View Products on Sigmaaldrich.com
MABS1998-100UG
100 μg  
Prix en cours de récupération
Le prix n'a pas pu être récupéré
La quantité minimale doit être un multiple de
Maximum Quantity is
À la validation de la commande Plus d'informations
Vous avez sauvegardé ()
 
Demander le prix
Disponibilité limitée
Disponibilité limitée
En stock 
Interrompu(e)
Disponible en quantités limitées
Disponibilité à confirmer
    Pour le restant : Nous vous tiendrons informé
      Pour le restant : Nous vous tiendrons informé
      Nous vous tiendrons informé
      Contacter le Service Clients
      Contact Customer Service

       

      Contacter le Service Clients

      Aperçu

      Replacement Information

      Tableau de caractéristiques principal

      Species ReactivityKey ApplicationsHostFormatAntibody Type
      HIH(P), FCMPurifiedMonoclonal Antibody
      Description
      Catalogue NumberMABS1998-100UG
      DescriptionAnti-HPa3 Antibody, clone HIC3-2D12
      Alternate Names
      • Non-beta endocrine cells
      Background InformationPancreas performs both the endocrine and the exocrine function. The bulk of pancreas is composed of exocrine cells that produce digestion enzymes which are released into ducts to be emptied into the duodenum. The endocrine pancreas is composed of islets of Langerhans that produce hormones. At least five distinct endocrine cell types have been identified in the endocrine pancreas, each producing a different hormone. Beta cells produce insulin, which is considered as an anabolic hormone and regulates blood glucose levels and is also involved in fat and protein synthesis. Alpha cells produce glucagon that acts when blood glucose levels are low. Ductal cells of pancreas form the epithelial lining of the branched tubes that deliver digestive enzymes into the duodenum. They also secrete bicarbonate to neutralize acidic contents coming in from stomach. Duct cells may contribute up to 10% of all pancreatic cells. Acinar cells function as a unit of the exocrine pancreas and they synthesize, store, and secrete digestive enzymes (lipase, alpha amylase, trypsin, and chymotrypsin), which under normal physiological conditions are activated only after reaching the duodenum. Premature activation of these enzymes within pancreatic acinar cells can lead to acute pancreatitis. Clone HIC-2D2 can be used to mark all non-beta endocrine cell types in human pancreatic tissue. (Ref.: Dorrell, C., et al. (2008). Stem Cell Research (2008). 1(3); 183-194; Grapin-Botton, A (2005). Int. J. Biochem. Cell Biol. 37(3); 504-510; Leung, PS (2006). Int. J. Biochem. Cell Biol. 38(7); 1024-1030).
      References
      Product Information
      FormatPurified
      PresentationPurified mouse monoclonal antibody IgM in PBS with 0.05% sodium azide.
      Applications
      ApplicationAnti-HPa3, clone HIC3-2D12, Cat. No. MABS1998, is a mouse monoclonal antibody that detects human pancreatic non-beta endocrine cells and has been tested for use in Flow Cytometry and Immunohistochemistry (Paraffin).
      Key Applications
      • Immunohistochemistry (Paraffin)
      • Flow Cytometry
      Application NotesFlow Cytometry Analysis: A representative lot detected HPa3 in Flow Cytometry applications (Dorrell, C., et. al. (2008). Stem Cell Res. 1(3):183-94; Bramswig, N.C., et. al. (2013). J Clin Invest. 123(3):1275-84; Dorrell, C., et. al. (2016). Nat Commun. 7:11756).
      Biological Information
      ImmunogenHuman pancreatic islets enriched in non-beta endocine cells.
      CloneHIC3-2D12
      ConcentrationPlease refer to lot specific datasheet.
      HostMouse
      SpecificityClone HIC3-2D12 detects human pancreatic non-beta endocrine cells.
      IsotypeIgMκ
      Species Reactivity
      • Human
      Species Reactivity NoteHuman.
      Antibody TypeMonoclonal Antibody
      Entrez Gene Number
      UniProt Number
      Physicochemical Information
      Dimensions
      Materials Information
      Toxicological Information
      Safety Information according to GHS
      Safety Information
      Product Usage Statements
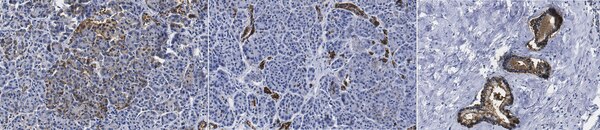
      Quality AssuranceEvaluated by Immunohistochemistry (Paraffin) in human pancreatic tissue sections.

      Immunohistochemistry (Paraffin) Analysis: A 1:50 dilution of this antibody detected HPa3 in human pancreatic tissue sections.
      Usage Statement
      • Unless otherwise stated in our catalog or other company documentation accompanying the product(s), our products are intended for research use only and are not to be used for any other purpose, which includes but is not limited to, unauthorized commercial uses, in vitro diagnostic uses, ex vivo or in vivo therapeutic uses or any type of consumption or application to humans or animals.
      Storage and Shipping Information
      Storage ConditionsStable for 1 year at 2-8°C from date of receipt.
      Packaging Information
      Material Size100 μg
      Transport Information
      Supplemental Information
      Specifications
      Global Trade Item Number
      Référence GTIN
      MABS1998-100UG 04054839507083

      Documentation

      Anti-HPa3 Antibody, clone HIC3-2D12 Certificats d'analyse

      TitreNuméro de lot
      Anti-HPa3, Clone HIC3-2D12 - 4084406 4084406
      Anti-HPa3, Clone HIC3-2D12 - 4180379 4180379
      Anti-HPa3, Clone HIC3-2D12 - 4201233 4201233
      Anti-HPa3, Clone HIC3-2D12 - 4222901 4222901
      Anti-HPa3, Clone HIC3-2D12 - 4224958 4224958
      Anti-HPa3, Clone HIC3-2D12 - 4229979 4229979
      Anti-HPa3, Clone HIC3-2D12 - 4237256 4237256
      Anti-HPa3, Clone HIC3-2D12 - 4247752 4247752
      Anti-HPa3, clone HIC3-2D12 - 3237484 3237484
      Anti-HPa3, clone HIC3-2D12 - 3487605 3487605